烤瓷牙选什么材料
来源:郑州唯美口腔
赞: |
好评: |
阅读:
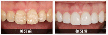
烤瓷牙选什么材料,随着牙齿美容的发展,越来越多的人开始注重口腔健康了,其中烤瓷牙就备受关注,烤瓷牙材料各异,价格不同,到底哪里比较好呢?下面我们就去了解一下吧。

郑州烤瓷牙价钱,郑州唯美口腔专家介绍,烤瓷冠其实只适用于前牙,不建议后牙也使用,有崩瓷后影响咬合的可能,第二后牙瓷体的密合度也逊于金属冠。而且牙冠其颌面形态也不是天然牙可以比拟的,尽量保留天然牙是必须的。烤瓷以单颗计算,每颗的单价乘以你需要做的数目就好了。烤瓷冠的费用和地域消费水平、医生操作程序、医疗机构地理位置、装潢、面向人群有关。目前多以材质定价。
烤瓷牙材料哪种比较好
黄金烤瓷牙具有贵金属的极佳性能,化学性能稳定,不易被氧化和分解,所以不刺激牙龈,不会引起牙龈变色。由于强度高于一般的烤瓷材料,所以与瓷粉的结合力也较强,牙齿修复后不易脱瓷,更具生理功能但是黄金烤瓷牙的价格是比较贵的,并不是适合所有的消费者。 普通金属烤瓷牙有钴铬合计和镍铬合金两种。镍铬合金由于国民和一些未证实的身体损害,现在已不使用。钴铬合金具有强度高、价格便宜等优点,适用于后牙的修复。普通金属-烤瓷牙特点:价格便宜,实惠;强度高,通透性稍差,色泽与自然牙有少许差别,适用于后牙修复;偶出现过敏现象。 综上所述, ,当然不同类别价钱比较高的烤瓷牙是相对来说是比较好的。但是不管是选择哪种类型的烤瓷牙建议大家一定要到正规的医院进行,避免严重后果的发生。
郑州唯美口腔环境优雅,舒适宜人。人性化设计的候诊休息区解决了您等候的烦恼。可以随意阅读时尚杂志,也可以精心欣赏亲切的背景音乐。处于一个放松自己的心情。在郑州唯美口腔看牙,让您得到更私密安心的治疗服务,唯美口腔让您在不知不觉中拥有美丽笑容!
郑州烤瓷牙,如果您对以上的内容,还有任何不明白的地方,欢迎点击在线咨询,与专家进行一对一交流,同时网上咨询预约,还可享免挂号费,无需排队优先就诊服务。
温馨提示:口腔健康问题,不要查看不专业的网站,不要问不专业的医生。