美国360度彩光美白

抽烟让牙齿变黑怎么办

来源:郑州唯美口腔
赞: | 好评: | 阅读:
  抽烟让牙齿变黑怎么办,由于工作和生活的压力,很多人都学会了抽烟,烟瘾一旦养成,就很难在戒掉。在中国,长期抽烟的人非常多,相应的因为抽烟而牙齿发黑的患者有不少,那么,究竟抽烟让牙齿变黑怎么办?为此,通过以下我们来进行详细的了解。
抽烟让牙齿变黑怎么办
 
  抽烟让牙齿变黑原因
 
  抽烟不仅会危害到身体健康,时间长了也会让我们的牙齿变黑,影响美观。郑州唯美口腔专家指出:而抽烟之所以牙齿会变黑是因为香烟中有一种物质,会与我们口腔发生反应,形成烟渍覆在牙齿上,所以牙齿看上去发黑。
 
  烟渍牙是外源性的色素牙,所以如果是轻度染色,完全可以通过洁牙技术来处理,郑州唯美口腔的超声波洗牙就是非常好的选择。但是如果是严重的染色,就要更专业技术,这里推荐的是彩光美白技术。
 
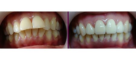
  【抽烟让牙齿变黑美白方法--360°彩光美白】
 
  360°彩光美白,是通过光源直接照射我们的牙冠部位,分解我们的牙冠色素,30分钟立竿见影,是目前流行于欧美及国内发达城市的更为先进的美白牙齿方法,当天就可以看到效果的,依据个人牙齿情况,做色阶检查,更大限度的满足大家的牙齿美白要求,仅需半小时就可以让您的牙齿180°大转变,终身享受健康美齿带给自己的快乐!推荐阅读:彩光牙齿美白多少钱
 
  【温馨提示】
 
  抽烟让牙齿变黑怎么办?以上就是郑州牙科医院郑州唯美口腔专家的介绍。由于这里条件有限,文章并不能解决您的所有疑问,如果您还有其他疑问,建议在线咨询专家。同时,您通过网络预约的话,免挂号费、检查费,免排队,优先会诊,为您节省宝贵时间。郑州唯美口腔为您的口腔健康导航。
 
温馨提示:口腔健康问题,不要查看不专业的网站,不要问不专业的医生。

上一篇:牙齿美白要注意什么呢

下一篇:牙齿发黄发黑是什么原因

唯美口腔连锁·汇聚实力专家
唯美口腔连锁·品牌资讯
  • 一城七院
  • 高端设备
  • 荣誉资质
  • 机构环境