茶渍牙怎么美白效果好,我们知道,茶可以消除疲劳,促进新陈代谢等众多好处。但是茶里面含有一种生物碱,在酸性的口腔容易产生反应,进而形成茶渍,附着在牙齿表面,从而导致牙齿发黄发黑,这让爱喝茶人士多为困扰。那么,茶渍牙怎么美白效果好?为此,通过以下我们来进行详细的了解。
茶渍牙的困扰,如何美牙
郑州唯美口腔的专家介绍,想要解决茶渍牙首先要了解茶渍牙给我们带来的危害和影响。
一、影响外在形象和心理健康:一笑就会露出一口颜色难看的茶渍牙,这对自己的外在形象是个很大的影响。而且时间久了,自己会没有自信做任何事情,常常感到自卑。
二、危害身体健康:茶渍牙上沉积的茶渍就是茶水污垢,往往含有镉、铅、砷、汞等多种重金属物质。而这些物质进入人体后会严重影响我们的健康。

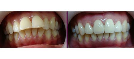
茶渍牙的美白方法
郑州唯美口腔美白专家指出,针对怎么去除茶渍牙,郑州唯美口腔引进的冷光美白牙技术能够很好的解决茶渍牙和各种牙齿着色的问题。美白烟渍牙等黑黄牙的效果可提高5~14个vita色阶,能有效地抑制牙菌斑的形成。对治疗四环素牙氟斑牙也有很好的效果。此种方法进行牙齿美白。无刺激、无副作用。
牙齿美白新方法牙齿冷光美白的5大优势:
1、无刺激、无疼痛:冷光美白牙齿的优势就是在治疗过程中不会产生热量,所使用的亲水性美白剂有脱敏成份,所以整个过程无刺激性和无疼痛感。
2、快速美白:特殊冷光牙齿美白疗程仅需30分钟,利用特殊冷光作用在冷光美白剂上,只要就诊一次即可看到美白效果。而家庭牙托式美白技术需要两周甚至更长的时间才能看到一定的效果。快速是更大的冷光美白牙齿的优势。推荐阅读:冷光美白对牙齿有伤害吗
3、深层美白:冷光美白技术不仅可以去除牙齿表面的色素沉积,同时可进入牙齿深层达到脱色的效果。一次疗程,治疗后能将牙齿表面提高5~14个VITA色阶,效果至少可维持两年以上。
4 、不伤害牙齿和牙龈:冷光是一种低温冷激光,操作过程中完全避免了对牙齿神经的刺激。美白剂的主要成分是氧化氢,是一种亲水性药物,完全不伤害牙龈,对牙齿的结构和牙釉质也不会有任何伤害。
5 、安全:由于采用的是低温冷光,不产生热效应,完全避免了操作过程中牙神经的不适,所以在美白过程中牙齿不会有酸胀感觉;另外,冷光美白是在牙齿全面涂抹昂贵、无害的美白材料之后,全口牙齿一次照射,所以大大缩短了美白时间,美白效果明显,价格适当。
茶渍牙怎么美白效果好?以上就是郑州牙科医院郑州唯美口腔专家的介绍。郑州唯美口腔开设专家免费在线咨询服务,由知名专家在线为您解答相关问题,根据爱美者的情况提供专业的口腔美容方案,并为您的隐私保密。如需帮助,您可以点击在线咨询,与知名专家在线交流。
上一篇:牙齿黑了可以做牙齿美白吗
下一篇:彩光美白术中的注意事项有哪些
唯美口腔连锁·汇聚实力专家
唯美口腔连锁·品牌资讯