温度可以不要,但必须要有风度,虽然这句话说的有点过,但是也从侧面反应了,形象对于现在的人事所么的重要了。但是,如果你要是有一口的黄牙,那么再好的风度也没有用了。那么怎样把黄牙变白呢?下面我们请教一下唯美口腔的专家,请专家给我们专业的指导。
专家介绍说,冷光美白是一项更新牙齿美白技术,它不仅可以去除牙齿表面的色素沉积,同时可进入牙齿深层达到脱色的效果。冷光牙齿美白是将波长介于480-520纳米之间的高强度蓝光,经由光纤传导,通过两片30多层镀膜的特殊光学镜片,再经过特殊光学处理,隔除一切有害的紫外线和红外线,将过氧化氢和直径为20纳米的二氧化硅等为主体的美白剂,快速产生氧化还原作用。透过牙小管,去除牙齿表面及深层附着的色素,从而达到美白的效果。
冷光美白的操作时间不用很长,仅需30分钟。低温冷光,完全避免了操作过程中对牙神经的刺激。美白剂的主要成分过氧化氢, 安全使用在牙齿脱色上已有数十年之久。在亲水性药物和完全不接触牙龈的美白过程中,对牙齿结构及珐琅质不会造成任何伤害。一次性、无刺激、无副作用的美白效果可持续两年以上。推荐阅读》》》牙黄快速怎么变白
点击在线咨询,了解牙齿美白的优惠活动!在线预约可享更多优惠!

中韩·唯美口腔牙齿美白专家推荐

罗柏柯,口腔执业医师,精湛技术:美容修复、口内治疗、1小时德国西诺德CAD/CAM3D齿雕全瓷修复。毕业于郑州大学口腔系,曾于华西口腔医学院从事口腔修复、口腔外科以及口腔内科工作,拥有丰富的临床经验,主要擅长烤瓷和全瓷的美容修复及龋病的充填治疗,牙髓病、根尖周病的根管治疗。多次应邀参加国内外口腔学术交流,在省级、品质刊物上发表学术论文数十篇。从医以来,接诊病例数千例,为人谦和,热心细致,操作轻柔,得到客人与同事一致肯定与称赞!
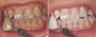
中韩·唯美口腔牙齿美白前后对比图

怎样把黄牙变白呢?以上就是中韩·唯美口腔专家的介绍了,希望会对您有所帮助。如果您还有其他的想要了解的,可以咨询我院的专家请专家给您做,更加详细,更加专业的解答,让您坐上通往牙齿美白道路的直通车。
上一篇:治疗色素牙用什么方法效果好
下一篇:冷光牙齿美白的优势及术后护理
唯美口腔连锁·汇聚实力专家
唯美口腔连锁·品牌资讯