氟斑牙带有一定的地理因素,十分的影响美观,那么氟斑牙如何治疗呢?请唯美口腔的专家给我们做一下科普教育,也让我们在生活中注意防止氟斑牙的发生。
氟斑牙怎么治疗
一、贴面美白
贴面美白是在牙齿表面粘上一层烤瓷片或塑料牙片及树脂,遮盖变色的牙齿。这种方法的缺点是,如果医生治疗水平或个人保养不好,会很快磨损脱落。
二、美容冠
这是一种流行于欧美国家的牙齿美容修复方法。美容冠修复不仅具有固位牢,耐磨性好,生物相容性好,而且,又具有了真牙的色泽,逼真美观,所以,它是一种永久性治疗氟斑牙的修复体。
三、冷光美白
这是一种针对轻度氟斑牙较好的方法之一。它通过涂在牙齿表面的美白药物,液体时,这些美白剂还能渗透到牙齿组织中去,然后通过冷光将美白剂凝固,更后剥去美白剂,从而达到美白的效果。这种方法方便、有效,整个治疗过程只需40分钟左右。推荐阅读》》》氟斑牙美白方法怎么选择
点击在线咨询,了解牙齿美白的优惠活动!在线预约可享更多优惠!

中韩·唯美口腔牙齿美白专家推荐

罗柏柯,口腔执业医师,精湛技术:美容修复、口内治疗、1小时德国西诺德CAD/CAM3D齿雕全瓷修复。毕业于郑州大学口腔系,曾于华西口腔医学院从事口腔修复、口腔外科以及口腔内科工作,拥有丰富的临床经验,主要擅长烤瓷和全瓷的美容修复及龋病的充填治疗,牙髓病、根尖周病的根管治疗。多次应邀参加国内外口腔学术交流,在省级、品质刊物上发表学术论文数十篇。从医以来,接诊病例数千例,为人谦和,热心细致,操作轻柔,得到客人与同事一致肯定与称赞!
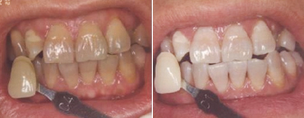
中韩·唯美口腔牙齿美白前后对比图

通过中韩·唯美口腔的介绍,相信大家对氟斑牙的治疗已经有了初步的了解。如果您想了解的更多,可以咨询我院的专家,请专家给您更多问题的答案。
上一篇:牙黄快速怎么变白
下一篇:治疗色素牙用什么方法效果好
唯美口腔连锁·汇聚实力专家
唯美口腔连锁·品牌资讯