牙齿美白有哪些办法?美白对于很多爱美人士来说,和生命一样重要,美白亮丽的牙齿也是人们形象的一部分,随着医疗技术的进步,牙齿美白技术帮助很多患者恢复了牙齿的原貌,那么牙齿美白有哪些办法?
下面是一些常见的牙齿美白的方法:
1、烤瓷牙:尤其对于有牙齿缺损的情况,比较好的美容修复方法就是烤瓷牙,这也是目前密合度更好、颜色效果更接近天然色的口腔修复体。由于烤瓷牙表面细菌无法生存,因此除了美白效果外,还不会出现蛀牙。
2、冷光美白:低温冷光避免了治疗过程中对牙神经的刺激。美白剂的主要成分为过氧化氢,一次性、无刺激。优点是过程十分简单,在牙龈边缘涂上一层保护剂,然后在牙面涂美白剂,用冷光美白灯照射(根据牙齿染色程度光照8~10分钟),之后除掉美白剂,再涂一层新的美白剂。此过程反复三次,全过程不过30~40分钟而已。
3、贴面美白:贴面美白是在牙齿表面粘上一层贴面,对已经变色的牙齿起到遮挡的作用。现在流行的牙齿贴面可以分为树脂贴面和瓷贴面两种。树脂贴面是在磨去部分牙齿后在牙齿表面贴上树脂,可以保持牙齿的形状和原来一样。而瓷贴面则是汇集了烤瓷牙和树脂贴面的优点,既美观又逼真,这是由更新计算机超精密雕塑切割设备与技术,将与牙齿珐琅质相似的“美白贴片”切割成与牙齿完全密合的形状,用特殊活性接口材质将贴片紧密镶嵌在牙齿上,因而价格较贵,相比树脂保持的时间也要长。
4、牙齿漂白:漂白,就是定做一个透明的牙托,每晚将药液挤在牙托上,戴着牙托入睡。漂白分为“外”和“内”两种:外漂白术适用于中度无缺损的氟牙症和四环素牙的脱色治疗。内漂白术:主要用于前牙变色、无髓牙或严重四环素变色牙的修复,这种方法对牙齿损伤比较大,而且非常疼。了解更多牙齿美白方法,点击在线咨询,直接与专家相互交流!
5、洗牙:就是医生用超声洁牙机和喷沙洁牙机去除牙齿表面的牙石和菌斑,洗去牙齿表面的结石及钙化的污物。洗牙完全不同于普通的刷牙,它不仅可以清洁牙齿浅表面污垢,还能彻底清除刷牙所无法去掉的菌斑、结石和色素,洁牙时容易发现细小的不易觉察的牙病,如比较隐蔽的龋齿,达到早发现早治疗的目的。
中韩·唯美口腔牙齿美容技术推荐
中韩·唯美口腔是一所中韩合作的性质的医疗机构,独家引进了世界一流洁牙技术——超声波洁牙系统,超声波洁牙系统通过FDI认证,严格执行无菌操作,对牙齿无损伤,对牙结石、烟斑等洗后即可见清洁效果,保证了牙齿健康,无需麻醉,无副作用,在休闲等待的时间里轻松治疗。而且开创了全透明消毒中心,患者可以亲眼看到整个消毒过程,坚持标准预防原则,保证患者诊疗安全。推荐阅读:超声波洁牙
中韩·唯美口腔牙齿美容专家推荐

莫三心教授,主任医师,硕士研究生导师。唯美口腔特邀专家,河南省口腔医学领域知名专家、郑州大学知名教授。精湛技术:牙齿种植、口腔修复、牙齿美容修复曾多次获得卫生部及省市各级表彰。主编多部并且参与编写多部国家医学教材,发表学术论文20余篇。擅于口腔修复,并涵盖口腔专业各个领域,可谓是大师级的口腔专家,在国内口腔界享有很高的声望。点击在线咨询,了解牙齿美容的优惠信息!在线预约可享更多优惠!
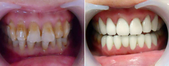
中韩·唯美口腔牙齿美容前后对比图

温馨提示:以上是牙齿美白方法的一些介绍,想要咨询更多相关内容,点击在线咨询,中韩·唯美口腔是一所中韩合作的性质的医疗机构,为每一位患者争取更佳治疗时机、享受更知名医疗资源、申请更优惠的治疗价格。
上一篇:牙齿美白的护理有哪些需要注意的
下一篇:牙齿为什么发黄
唯美口腔连锁·汇聚实力专家
唯美口腔连锁·品牌资讯