牙齿美白要多少钱?变色的牙齿是阻碍我们使用微笑来表达自己的一种因素,也是口腔病菌滋生的重要因素。所以说牙齿美白就变得至关重要了。那么牙齿美白要多少钱呢?下面跟随郑州知名口腔科专家来了解一下!
牙齿美白要多少钱
一、牙齿美白需要多少钱与选择的医院有关,如整个医院的医疗设备与医疗水平等有关,一个资格都不齐全的小黑牙科诊所与正规的医院价格肯定不会相同。
二、牙齿美白需要多少钱与地区有关,因为其地区不同,消费水平不同,因此,地区的不同也有一定的因素。
三、牙齿美白需要多少钱与采用美白方案有关,采用的美白方案繁简不同,这也会跟影响到牙齿美白的费用,美白牙齿的方法很多,中韩·唯美口腔采用目前更先进的彩光美白牙齿,30分钟即可达到你想要的牙齿美白效果。哪种美白方案适合你呢?点击在线咨询,直接与抓家对话了解详情!
四、牙齿美白需要多少钱与选择专家有关,专家的专业水平不同其美白费用肯定也有所不同。推荐阅读:美国360°彩光美白
中韩·唯美口腔引进的美国360°彩光美白技术是美国牙科激光科技更新成果,也是通过美国食品及药物监督管理局(FDA)认证、欧盟CE认证的彩光美白技术,是目前更有效及更安全的牙齿美白技术。仅需短短30分钟,美国360°彩光美白即可有效去除黄牙、烟渍牙、黑牙、四环素牙、氟斑牙等各种色素牙困扰。在欧美,已有超过4百万人用彩光美白技术美白牙齿,它被称为效果更好的午休美容项目,美白效果直接更持久,并迅速在日韩、中国普及。临床试验表明使用美国360°彩光美白,牙齿美白效果可提高5~15个vita色阶并且对牙齿和牙龈没有任何伤害。点击在线咨询,了解牙齿美白的优惠活动!在线预约可享更多优惠!
中韩·唯美口腔牙齿美白专家推荐

程玲,口腔执业医师,精湛技术:牙齿美容、牙齿矫正、1小时德国西诺德CAD/CAM3D齿雕全瓷修复。毕业于河南医科大学,先后在华西口腔医学院及三级甲等医院口腔中心工作,积累了丰富的临床经验。在固定修复、美齿美白方面技艺精湛有着突出优势,曾参与中韩美容整形峰会,并于核心期刊发表论文多篇。该医师技术娴熟,操作规范轻柔,行医严谨,待人真诚,已成功完成近千例的牙齿美容修复,深得患者好评。
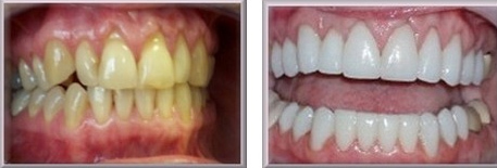
中韩·唯美口腔牙齿美白前后对比图

在线咨询,一分钟预约挂号,医务人员将会与您一对一进行沟通。中韩·唯美口腔有中国更专业的网上挂号平台,为您提供更便捷的预约就诊服务,为您推荐全国资质更深、技术更好的治疗专家,让你从此刻开始摆脱疾病的困扰。
上一篇:郑州牙齿美白费用多少
下一篇:牙齿美白的方法有哪些不同
唯美口腔连锁·汇聚实力专家
唯美口腔连锁·品牌资讯