郑州牙齿美白方法都有哪些?白皙的牙齿透露着自然的微笑,给人的感觉是赏心悦目和赞赏。但是生活之中难免会出现牙齿的变色,牙齿变色之后,留给我们的是烦恼和伤害。所以对于变色的牙齿,我们要及时的美白。那么郑州牙齿美白方法都有哪些呢?
牙齿美白的方法有哪些
洗牙:洗牙是用超声波美白,洗去牙齿表面的软垢色素和牙结石,一般是由于抽烟、喝茶等外部原因造成的,通过超声波的很快频率的震动达到美白的效果,能保持的时间大致是半年到一年,如果保健不好或牙周病患者,需三个月洗一次。
瓷贴面:如果牙齿没有较大的缺损,而只是色泽不佳,建议您采用这种方法,可达到近乎完美的效果。它是通过将牙齿唇侧(朝向外面的那一侧)外表面均匀地磨除一层后用牙科专用瓷性材料重塑牙齿外形和色泽,因为可以精确控制牙齿颜色指标,因此美容效果较好,耐磨性与牙齿相近。
彩光美白:彩光美白是经由光纤传导,通过两片30多层镀膜的特殊光学镜片,再经过特殊光学处理,隔除一切有害的紫外线和红外线,将过氧化氢和直径为20纳米的二氧化硅等为主体的美白剂,快速产生氧化还原作用。透过牙小管,去除牙齿表面及深层附着的色素,从而达到美白的效果。推荐阅读:美国360°彩光美白
烤瓷牙:烤瓷牙如果制作较好的话至少可以保持十年甚至更长的时间。主要原理是金属和瓷混合使用,里面是金属,外面是瓷,不容易断裂,是戴在牙齿上的"帽",对健康没有什么大的副作用,根据金属性质的不同对人体的影响也不同,贵金属和人体的相融性比较好,相对来说对人体的刺激性较小。哪种美白方法适合你呢?点击在线咨询,直接与专家对话了解详情!
中韩·唯美口腔牙齿美白专家推荐

罗柏柯,口腔执业医师,精湛技术:美容修复、口内治疗、1小时德国西诺德CAD/CAM3D齿雕全瓷修复。毕业于郑州大学口腔系,曾于华西口腔医学院从事口腔修复、口腔外科以及口腔内科工作,拥有丰富的临床经验,主要擅长烤瓷和全瓷的美容修复及龋病的充填治疗,牙髓病、根尖周病的根管治疗。多次应邀参加国内外口腔学术交流,在省级、品质刊物上发表学术论文数十篇。从医以来,接诊病例数千例,为人谦和,热心细致,操作轻柔,得到客人与同事一致肯定与称赞!
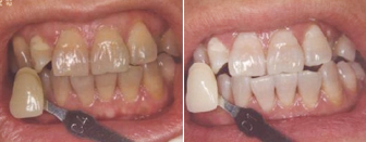
中韩·唯美口腔牙齿美白前后对比图

中韩·唯美口腔专家团队对牙齿变色的治疗都积累丰富的临床经验,借康复患者之间的口碑相传,声名远播,全国患者纷纷前来就诊,您的更佳选择。更多口腔健康方面的知识,您可以咨询在线医生。
上一篇:郑州牙齿美白方法选哪种好
下一篇:郑州牙齿美白费用多少
唯美口腔连锁·汇聚实力专家
唯美口腔连锁·品牌资讯