彩光美白牙齿的价格是多少?阴云密布,天空的颜色被遮挡,让我们感到一种无助与惆怅。牙齿的颜色若是被其它颜色所遮掩,除了让我们的形象受损之外,更大的危害则是来自口腔健康方面的压力,对变色的牙齿进行美白才是正确的选择,那么彩光美白牙齿的价格是多少呢?
彩光美白牙齿的价格是多少
一、彩光美白牙齿与爱美者牙齿情况有关。虽然说做牙齿美白的人牙齿都不是雪白色,但每个人颜色、色深也并不都相同,造成牙齿变色的原因更是五花八门。牙齿美白讲究对症下药,不同的原因造成的牙齿变色需要使用不同的美白方式才能更好的美白。不同色深的牙齿进行美白所需要的药品资源多少也不同,自然价格也不同。你的牙齿状况是怎样的呢?点击在线咨询,直接与专家对话了解详情!
二、彩光美白牙齿与医院有关。在不正规的美白诊所里,牙齿美白设备不够先进,美白效果不够完美,持久性也不强。而在专业的美容机构,环境、设备都比较优良,技术也很先进,对爱美者牙齿有针对性地设计美白方案,不仅美白效果效果好,持久性也更强,甚至达到治本的效果。虽然价格会稍贵一些,但是效果好次数更少。
中韩·唯美口腔360°彩光美白采用物理还原原理,对于口腔组织非常安全,操作过程不接触牙龈,所以完全避免了操作过程中对牙神经的损害,同时对牙齿结构不会造成任何损害。当360°彩光美白结束后,你会惊喜地发现牙齿竟会如此润白亮泽,美白效果至少可维持5年以上。因此360°彩光美白技术已经被公认为是目前上更为有效及更安全的牙齿美白技术。推荐阅读:美国360°彩光美白
根据临床实验表明,唯美口腔360°彩光美白技术是采用先进的彩光(蓝光)照射技术,它将高强度彩光定点照射,去除牙齿表面及深层所附着的色素,使牙齿回到未经染色前的洁白。其效果可平均一次性提高8个VITA色阶。每个人的效果将视其原来牙齿的颜色及个人情况而定,更终您会拥有一口润白亮泽的牙齿。点击在线咨询,了解牙齿美白的优惠活动!在线预约可享更多优惠!
中韩·唯美口腔牙齿美白专家推荐

程玲,口腔执业医师,精湛技术:牙齿美容、牙齿矫正、1小时德国西诺德CAD/CAM3D齿雕全瓷修复。毕业于河南医科大学,先后在华西口腔医学院及三级甲等医院口腔中心工作,积累了丰富的临床经验。在固定修复、美齿美白方面技艺精湛有着突出优势,曾参与中韩美容整形峰会,并于核心期刊发表论文多篇。该医师技术娴熟,操作规范轻柔,行医严谨,待人真诚,已成功完成近千例的牙齿美容修复,深得患者好评。
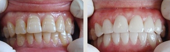
中韩·唯美口腔牙齿美白前后对比图

如果您还有其他疑问请点击中韩·唯美口腔在线咨询专家为您做详细的解答。一分钟预约挂号,医务人员将会与您一对一进行沟通。我们有中国更专业的网上挂号平台,为您提供更便捷的预约就诊服务,为您推荐全国资质更深、技术更好的口腔专家,让你从此刻开始摆脱牙齿问题的困扰。
上一篇:彩光美白费用是多少
下一篇:郑州牙齿美白方法哪种好
唯美口腔连锁·汇聚实力专家
唯美口腔连锁·品牌资讯