氟斑牙美白方法怎么选择?事实难以改变,感觉也是难以言喻的,比如说牙齿是氟斑牙的情况,一种地区性的牙齿变色现象,所产生的牙齿情况给自己将会产生很大的危害,外在形象受损,口腔健康受威胁,因此牙齿美白才是更好的选择,那么氟斑牙美白方法怎么选择呢?
氟斑牙美白方法怎么选择
对于轻度、中度的氟斑牙可选360°彩光美白:中韩·唯美口腔采用的美国360°彩光美白技术是一项正流行于欧美的更新兴的牙齿美白技术,它将高强度彩光定点照射,它不仅可以去除牙齿表面的色素沉积,及深层所附着的色素,美白效果持久有效,仅需短短的30分钟,即可让您拥有一口润白亮泽的牙齿。具有持久、自然、快速、专业、安全等五大优势。推荐阅读:美国360°彩光美白
对于重度的氟斑牙可选美容冠:西门子齿雕机器人——第四代Cerec3D美牙冠技术突破传统的修复方法,引领牙科修复技术进入数字化时代。经3D智能化数字技术系统直接设计修复体,完美的瓷粘结技术,使瓷和牙齿达到高度的协调统一,并强化牙结构,更大限度的延长了牙齿的寿命,更大限度的保留自然齿质,品质卓越,持久耐用。Cerec系统整个过程从诊断、拍摄、设计、制作、试戴在一个区域内完成逼真的美牙冠,一气呵成用时只需1小时,彻底解决牙齿颜色和形态等牙齿难看问题,从此实现了美齿是一种享受。你的氟斑牙情况是怎样的呢?点击在线咨询,直接与专家对话了解详情!
中韩·唯美口腔牙齿美白专家推荐

罗柏柯,口腔执业医师,精湛技术:美容修复、口内治疗、1小时德国西诺德CAD/CAM3D齿雕全瓷修复。毕业于郑州大学口腔系,曾于华西口腔医学院从事口腔修复、口腔外科以及口腔内科工作,拥有丰富的临床经验,主要擅长烤瓷和全瓷的美容修复及龋病的充填治疗,牙髓病、根尖周病的根管治疗。多次应邀参加国内外口腔学术交流,在省级、品质刊物上发表学术论文数十篇。从医以来,接诊病例数千例,为人谦和,热心细致,操作轻柔,得到客人与同事一致肯定与称赞!点击在线咨询,了解牙齿美白的优惠信息!在线预约可享更多优惠!
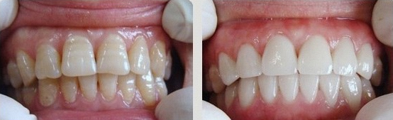
中韩·唯美口腔牙齿美白前后对比图

如果您还有想要了解的情况,可以点击我们的在线咨询,中韩·唯美口腔的在线专家会给您更专业,更详细的解答,或是拨打我们的24小时康复热线,与专家一对一详解。
上一篇:美白牙齿的费用是多少
下一篇:彩光美白多少钱
唯美口腔连锁·汇聚实力专家
唯美口腔连锁·品牌资讯