笑如花开,但是一旦牙齿变了色,笑容也就失去了花绽放的那种美好气质,给人的感觉当然也就变了。对牙齿做没事是当今许多爱美人士都会选择的一种装饰自己的方法,牙齿美白已经成为时尚的潮流,那么郑州牙齿美白的价格是多少呢?
中韩·唯美口腔专家介绍:牙齿美白的价格并不是一个固定不变的,因为牙齿美白的价格受到多方面的因素影响,任何一个因素的改变,都会造成牙齿美白价格的波动。
牙齿美白需要多少钱受哪些因素影响
1、牙齿美白需要多少钱与选择的牙齿美白方法有关:目前市场上比较流行的牙齿美白方法主要有烤瓷美白、激光美白、彩光美白、冷光美白等。牙齿美白多少钱取决于您选择的牙齿美白方式。专家还强调:上述几种牙齿美白方式效果显著,但是冷光美白过程中容易对牙釉质产生损伤,显钙化白,以后更容易使牙齿再着色。而且由于冷光美白牙价格比较贵,性价比不高,一般医生不推荐使用这用牙齿美白方式。所以如果您想做牙齿美白的话,建议大家选择彩光美白比较好。到底哪种方法适合你呢?点击在线咨询,直接与专家交流了解详情!
2、牙齿美白需要多少钱与地区有关,因为其地区不同,消费水平不同,因此,地区的不同也有一定的因素。
3、牙齿美白需要多少钱与选择的医院有关,如整个医院的医疗设备与医疗水平等有关。
4、牙齿美白需要多少钱与选择专家有关,专家的专业水平不同其美白费用肯定也有所不同。
中韩·唯美口腔使用的美国360°彩光美白技术是一项正流行于欧美的更新兴的牙齿美白技术,它将高强度彩光定点照射,它不仅可以去除牙齿表面的色素沉积,及深层所附着的色素,美白效果持久有效,仅需短短的30分钟,即可让您拥有一口润白亮泽的牙齿。具有持久、自然、快速、专业、安全等五大优势。点击在线咨询,了解牙齿美白的优惠信息!在线预约可享受更多优惠!
适用范围:一般外因性色素牙(咖啡、茶渍、烟渍沉积、槟榔染色)、中轻度四环素牙、氟斑牙、药物性变色牙、遗传性黄牙等外源性和内源性牙齿颜色难看问题。推荐阅读:美国360°彩光美白
中韩·唯美口腔牙齿美白专家推荐

程玲,口腔执业医师,精湛技术:牙齿美容、牙齿矫正、1小时德国西诺德CAD/CAM3D齿雕全瓷修复。毕业于河南医科大学,先后在华西口腔医学院及三级甲等医院口腔中心工作,积累了丰富的临床经验。在固定修复、美齿美白方面技艺精湛有着突出优势,曾参与中韩美容整形峰会,并于核心期刊发表论文多篇。该医师技术娴熟,操作规范轻柔,行医严谨,待人真诚,已成功完成近千例的牙齿美容修复,深得患者好评。
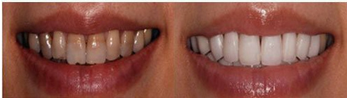
中韩·唯美口腔牙齿美白前后对比图

如果您还有想要了解的情况,可以点击我们的在线咨询,中韩·唯美口腔的在线专家会给您更专业,更详细的解答,或是拨打我们的24小时康复热线,与专家一对一详解。
上一篇:郑州牙齿美白最好的医院
下一篇:牙齿美白的价格多少
唯美口腔连锁·汇聚实力专家
唯美口腔连锁·品牌资讯