哪家牙齿美白更好?靓丽牙齿才能让我们的笑容更加的迷人,更好的展现魅力所在,但是生活在色彩斑斓的时代,牙齿变色的情况在所难免,为了保障良好的形象,去做牙齿美白是很有必要的,那么哪家牙齿美白更好呢?
中韩·唯美口腔专家介绍:牙齿美白的医院现在有很多,牙齿美白要讲究专业性,一定要到正规专业的口腔医院进行美白修复,防止不当的牙齿美白给大家带来的伤害。就郑州而言做牙齿美白的医院理想唯美。
为什么唯美口腔是美白牙齿的理想
1、唯美口腔的环境设备让人放心,唯美口腔医院汇集来自美国、德国、法国、日本等全球各国更先进的口腔诊疗设备,是华东地区五星级精品齿科(牙齿美容)会所式专科医院。采用“全生态、人性化”酒店式环境设计,让您尊享安全美齿的先进体验。
2、唯美口腔有专业的医师,唯美专业口腔拥有数十位技术超群的口腔专家诊疗团队,以先进科技为手段,专注于口腔事业。并有医学美牙设计专家为每一位牙齿美容顾客量身设计符和医疗美学标准的美牙方案,让每一颗牙齿都像艺术品一样宛如天成。
3、唯美口腔牙齿美白有很多的技术可以让你来选择,360°彩光美白技术,德国3D美牙冠,牙齿贴面等等这些都是很好的美白牙齿的方法。患者可以根据自身的情况来选择美白的方法。哪种美白方法适合你呢?点击在线咨询,直接与专家对话了解详情!
这么多的牙齿美白技术爱美的你是不是挑花了眼呢?我们为大家介绍一个牙齿美白比较好的技术。
牙齿美白技术推荐——美国360°彩光美白技术
中韩·唯美口腔360°彩光美白技术是一项正流行于欧美的更新兴的牙齿美白技术,它将高强度彩光定点照射,它不仅可以去除牙齿表面的色素沉积,及深层所附着的色素,美白效果持久有效,仅需短短的30分钟,即可让您拥有一口润白亮泽的牙齿。具有持久、自然、快速、专业、安全等五大优势。推荐阅读:美国360°彩光美白
适用范围:一般外因性色素牙(咖啡、茶渍、烟渍沉积、槟榔染色)、中轻度四环素牙、氟斑牙、药物性变色牙、遗传性黄牙等外源性和内源性牙齿颜色难看问题。点击在线咨询,了解牙齿美白的优惠信息!在线预约可享更多优惠!
中韩·唯美口腔牙齿美白专家推荐

程玲,口腔执业医师,精湛技术:牙齿美容、牙齿矫正、1小时德国西诺德CAD/CAM3D齿雕全瓷修复。毕业于河南医科大学,先后在华西口腔医学院及三级甲等医院口腔中心工作,积累了丰富的临床经验。在固定修复、美齿美白方面技艺精湛有着突出优势,曾参与中韩美容整形峰会,并于核心期刊发表论文多篇。该医师技术娴熟,操作规范轻柔,行医严谨,待人真诚,已成功完成近千例的牙齿美容修复,深得患者好评。
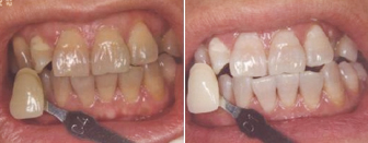
中韩·唯美口腔牙齿美白前后对比图

如果您还有想要了解的情况,可以点击我们的在线咨询,中韩·唯美口腔的在线专家会给您更专业,更详细的解答,或是拨打我们的24小时康复热线,与专家一对一详解。
上一篇:郑州牙齿美白最好的医院在哪
下一篇:牙黄怎么办
唯美口腔连锁·汇聚实力专家
唯美口腔连锁·品牌资讯