氟斑牙冷光美白价格是多少?越来越多的氟斑牙患者通过牙齿美白使自己的牙齿达到亮白的效果,牙齿美白总是能够给氟斑牙患者带来了意想不到的惊喜,然而在选择氟斑牙美白方法的时候,会选择冷光美白,下面一起来了解下氟斑牙冷光美白的相关知识。
中韩·唯美口腔专家介绍:氟斑牙,又称斑釉牙,是牙齿发育时期人体摄入氟量过高所引起的特殊型牙齿釉质发育不全,氟斑牙在临床上表现为牙釉质出现着色的斑块和牙齿缺损。
氟斑牙的危害有哪些呢
氟斑牙是常见的牙齿疾病,长期饮用含氟量过高的饮用水的朋友们牙齿会发黄,会直接影响到外表的美观,影响形象。严重的慢性氟中毒患者,可有骨骼的增殖性变化,骨膜、韧带等均可钙化,并从而产生腰、腿和全身关节症状。
中韩·唯美口腔专家介绍: 冷光美白牙齿是一种比较传统的牙齿漂白技术,它是通过冷光照射在牙齿上为其涂上一层凝胶,凝胶可以使牙齿脱色。可以说,冷光美白是通过激光来辅助上药完成的。现在由于冷光牙齿美白技术有一些适应症和美白维护时间不长等弊端已经逐渐退出市场。取而代之的是在三代牙齿美白技术——美国360°彩光美白技术。该技术克服了冷光美白的种种缺点,突破性的延长了美白时间,并已经被公认为是目前上更为有效及更安全的牙齿美白技术。推荐阅读:美国360°彩光美白
中韩·唯美口腔作为华中地区五星级精品齿科(牙齿美容)医院,率先引进美国360°彩光美白机,为广大牙齿美白需求者提供了更好的服务。这是一项正流行于欧美的更新兴的牙齿美白技术,在牙齿美白方面具有以下几方面重大优势:
美国360°彩光美白美牙不伤牙
它将高强度彩光定点照射,操作过程不接触牙龈,不会造成任何损害。它不仅可以去除牙齿表面的色素沉积,及深层所附着的色素,其美白效果更加持久有效。
美国360°彩光美白应用广泛
360°彩光美白能够轻松解决一般外因性色素牙(咖啡、茶渍、烟渍沉积、槟榔染色)、中轻度四环素牙、氟斑牙、药物性变色牙、遗传性黄牙等外源性和内源性牙齿颜色难看问题。
美国360°彩光美白美牙效果显着
一次治疗可以使全口16-20颗牙齿提高5-14个VITA色阶,平均提升8个VITA色阶以上,美白效果至少可维持5年以上,全程美牙洁牙仅需30分钟!更多详细的彩光美白知识,请点击在线咨询!
美国360°彩光美白的价格影响因素
1、选择彩光牙齿美白的设备不同
以目前的情况说来,市面上有三种彩光美白仪是比较常用的:希美DS4彩光美白仪、beyond彩光美白仪、美国360°彩光美白仪。相比较而言,每种彩光牙齿美白仪的价格都是不一样的,这主要决定于医院使用的设备如何,不过如果求美者对其中的一种效果比较中意,也可以专门去有这种彩光美白仪的医院进行治疗。
2、想要进行彩光牙齿美白的患者的口腔情况不同
彩光牙齿美白对于外源性色素粘染、内源性色素沉着和氟斑牙具有特别好的治疗效果,治疗的价格是随着个人的情况而发生改变的。有些求美者的色素沉淀或粘染的时间比较长、情况比较严重,自然治疗的疗程就会比较长,效果也会和状况比较轻的有些差别。点击咨询与专家进行交谈,了解自己的口腔情况!
3、选择彩光牙齿美白的医院和医生的不同
如果做彩光美白的医院是正规专业的医院且经验丰富的医生的话,那么彩光美白牙齿价格肯定是要贵的。如果选择的是小型的口腔医院,那么彩光牙齿美白价格自然就比较低了。
关心氟斑牙冷光美白牙齿多少钱,不如在线咨询360°彩光美白牙齿多少钱。中韩·唯美口腔专家提醒:不管是美白维持的时间还是美白效果和安全度来讲,彩光美白更具优势,而且价格并不必冷光美白高多少。所以说,选择彩光美白才是更聪明的选择。点击在线咨询,了解氟斑牙美白的优惠信息!在线预约可享受更多优惠!
中韩·唯美口腔牙齿美白专家推荐

程玲,口腔执业医师,精湛技术:牙齿美容、牙齿矫正、1小时德国西诺德CAD/CAM3D齿雕全瓷修复。毕业于河南医科大学,先后在华西口腔医学院及三级甲等医院口腔中心工作,积累了丰富的临床经验。在固定修复、美齿美白方面技艺精湛有着突出优势,曾参与中韩美容整形峰会,并于核心期刊发表论文多篇。该医师技术娴熟,操作规范轻柔,行医严谨,待人真诚,已成功完成近千例的牙齿美容修复,深得患者好评。
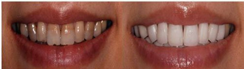
中韩·唯美口腔牙齿美白前后对比图

如果您还有想要了解更多有关氟斑牙的相关知识,可以点击我们的在线咨询或拔打我们24小时美牙热线0371-60318899,中韩·唯美口腔的专家会给您更专业,更详细的解答。
唯美口腔连锁·汇聚实力专家
唯美口腔连锁·品牌资讯