彩光美白价格多少?伴随着时间易逝的脚步,时光总是要给我们留下一些印记。表现在我们的牙齿上面就是牙齿变色现象的出现,变色的牙齿总是让我们尝尽了微笑变质,口腔疾病侵害等恶果,彩光美白是牙齿美白的更新技术,能够很好的美白我们的牙齿,取得良好的美白效果,那么彩光美白价格是多少呢?
中韩·唯美口腔引进的美国360°彩光美白技术是一项正流行于欧美的更新兴的牙齿美白技术,它将高强度彩光定点照射,它不仅可以去除牙齿表面的色素沉积,及深层所附着的色素,美白效果持久有效,仅需短短的30分钟,即可让您拥有一口润白亮泽的牙齿,具有持久、自然、快速、专业、安全等五大优势。
彩光美白的价格影响因素
1、选择彩光牙齿美白的设备不同
以目前的情况说来,市面上有三种彩光美白仪是比较常用的:希美DS4彩光美白仪、beyond彩光美白仪、美国360°彩光美白仪。相比较而言,每种彩光牙齿美白仪的价格都是不一样的,这主要决定于医院使用的设备如何,不过如果求美者对其中的一种效果比较中意,也可以专门去有这种彩光美白仪的医院进行治疗。
2、想要进行彩光牙齿美白的患者的口腔情况不同
彩光牙齿美白对于外源性色素粘染、内源性色素沉着和氟斑牙具有特别好的治疗效果,治疗的价格是随着个人的情况而发生改变的。有些求美者的色素沉淀或粘染的时间比较长、情况比较严重,自然治疗的疗程就会比较长,效果也会和状况比较轻的有些差别。点击咨询与专家进行交谈,了解自己的口腔情况!
3、选择彩光牙齿美白的医院和医生的不同
如果做彩光美白的医院是正规专业的医院且经验丰富的医生的话,那么彩光美白牙齿价格肯定是要贵的。如果选择的是小型的口腔医院,那么彩光牙齿美白价格自然就比较低了。
专家介绍:由于彩光美白是采用物理还原原理,对于口腔组织非常安全,操作过程不接触牙龈,所以完全避免了操作过程中对牙神经的损害,同时对牙齿结构不会造成任何损害。当彩光美白结束后,你会惊喜地发现牙齿竟会如此润白亮泽。而想有效保持牙齿美白效果,保持牙齿美白,牙齿美白后护理是必不可少,日常生活中也必需多注意。推荐阅读:美国360°彩光美白
彩光美白后的注意事项
,牙齿美白后尽量避免食用红酒、可乐、咖啡和茶、酱油、芥末、番茄酱,辣椒酱,以及过冷或过热的刺激性食物。
第二,避免使用彩条牙膏及有色漱口水,避免抽烟。
第三,牙齿美白治疗后24小时内建议选用白色或无色食物。更多详细的彩光美白后注意事项,请点击在线咨询!
中韩·唯美口腔牙齿美容专家推荐

程玲,口腔执业医师,精湛技术:牙齿美容、牙齿矫正、1小时德国西诺德CAD/CAM3D齿雕全瓷修复。毕业于河南医科大学,先后在华西口腔医学院及三级甲等医院口腔中心工作,积累了丰富的临床经验。在固定修复、美齿美白方面技艺精湛有着突出优势,曾参与中韩美容整形峰会,并于核心期刊发表论文多篇。该医师技术娴熟,操作规范轻柔,行医严谨,待人真诚,已成功完成近千例的牙齿美容修复,深得患者好评。
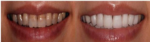
中韩·唯美口腔牙齿美白前后对比图

如果您觉得我们的文章没有解释的很清楚,或者还有其他疑问,您可以直接点击我们的在线咨询医生,中韩·唯美口腔专业咨询医生会给您耐心的,详细的解答,并给您一个满意的答复!
唯美口腔连锁·汇聚实力专家
唯美口腔连锁·品牌资讯