今后,孩子看牙不再害怕疼痛!
11月30日,来自美国的馨睡无痛治疗正式落户我市郑州唯美口腔医院,在孩子温馨甜睡中,医生就可以一站式轻松诊治孩子的各种口腔疾病,免费咨询和预约治疗热线即日开通。
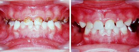
很多孩子特别喜欢吃甜食,有时还含着糖睡觉,涵涵就是这样一个“小甜妹”。从长牙开始就有严重的龋齿,如今才3岁半的她已经没有一颗完好的牙齿,20颗乳牙全部坏掉了。每次刷牙都会出血。更为严重的是完全丧失咀嚼功能,每餐只能喝点流食,导致她的个子比同龄人矮小,体质也非常差。“去牙院无数次,任你大人软硬兼施,她是‘刀枪不入’,就是不张嘴,你有天大能耐也无法给治,将近一年时间,体重一点没长,愁死人了。”为了治好孩子的牙病,妈妈伤透了脑筋。前几天听说郑州唯美口腔医院引起美国馨睡无痛治疗,能一次性无痛诊治孩子的牙病,妈妈马上带涵涵来到了唯美口腔医院“儿童口腔镇静无痛美容修复中心”。

一站式无痛诊治,一次搞定20颗坏牙
刚来到唯美口腔儿童诊室,涵涵怎么都不肯张口,后来医生说给她闻闻“甜味”,她吸了一会儿像只温顺的小绵羊,安静地配合医生诊治。
经郑州唯美口腔医院郑院长诊治发现,涵涵的20颗乳牙已经全部坏掉了,大都是深龋,尤其上下门牙严重龋坏,是严重的牙髓炎。郑院长解释道:“孩子刷牙不认真,所以在齿缝间和沟裂中存留食物残渣;而且,孩子喜欢吃甜食,口腔里的乳酸杆菌,能使糖和食物残渣发酵,产生大量乳酸,破坏牙齿结构,发生龋齿。龋齿进一步发展,细菌会穿通髓腔,发生牙髓炎,严重的还会影响恒牙发育。”
好在涵涵能愉快地配合医生,整个治疗过程非常安静。仅用了2个半小时,专家就非常顺利地为涵涵做了安抚治疗;拔掉烂牙,装上间隙保持器;用树脂材料补上了轻微的龋洞;严重的门牙龋齿用树脂牙冠重塑美观,磨牙龋齿则用金属牙冠以保证耐用。一次性解决了涵涵所有的牙齿问题。
治疗完成后,郑院长嘱咐道:“以后要按顿吃饭,养成早晚、饭后刷牙的习惯;少吃甜食;每半年做一次口腔检查。”小涵涵微笑着点点头,露出了一口整齐的小门牙。
LAGS馨睡治疗 让看牙变成一种享受
郑州唯美口腔医院成立国内“儿童口腔镇静无痛美容修复中心”,并引进美国馨睡治疗,唯美口腔医院也是目前国内第二家具备此项技术的医院。馨睡治疗根据患儿的病情和身高体重等,全电脑控制使用量。孩子吸入后,先是兴奋期,然后进入镇静期,无论是种植牙,还是拔牙、补牙等口腔治疗,清醒镇痛系统都能让患儿在身体放松的情况下进行治疗。
馨睡治疗操作非常简单,带上面罩轻轻一吸,30~45秒后即可产生镇静镇痛作用,使医生能更完美地操作手术。避免了全身麻醉并发症,停止吸入后数分钟即可恢复常态,无任何副作用。LAGS还具有一定的健忘作用,有助于孩子忘记术中不愉快的经历,下次就诊仍保持乐观积极的心态。
此外,郑州唯美口腔医院还非常人性化地设置牙椅电影院、TCI计算机控制镇静镇痛装置,孩子可以在舒适治疗的同时享受动漫大片的视觉美宴。不需捆绑便可让孩子在无痛、舒适和愉快中一次性完成补牙、拔牙、根冠治疗、调整咬合、修复美化牙冠等,无需反复就医。
郑州唯美口腔医院赵主任介绍,在国外发达国家的儿童口腔门诊中采用此疗法进行口腔治疗已经非常普遍,并且广泛应用于成人种植等口腔治疗项目。馨睡治疗的引进与应用,标志着郑州唯美口腔医院医院已经达到了口腔行业前沿水平。
上一篇:郑州唯美口腔溃疡案例
下一篇:郑州唯美智齿冠周炎案例
唯美口腔连锁·汇聚实力专家
唯美口腔连锁·品牌资讯