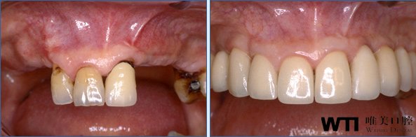
37岁的李先生是一个事业有成的老板,相对的他的工作也很繁忙。李先生也会抽空去看望父亲,父亲现在快70了,牙齿几乎掉光了,正常的饮食都成了大问题,李先生的心理都挺不是滋味。李先生留意到这些,立即带父亲去郑州唯美口腔医院准备安假牙。
老年人配戴假牙不是十分贴合口腔,很容易会导致假牙出现松动,这样还是会给老先生的饮食带来问题。中老年人口腔免疫力差,戴上假牙后更容易滋生病菌,易引起其他疾病。唯美口腔专家建议他为父亲选择种植牙。了解到种植牙技术的详细内容,李先生毫不犹豫为父亲选择了种植牙。

李先生感慨地说“老人家辛辛苦苦养大了我,看到父亲牙掉光了,吃饭都成问题,我真是心酸啊,幸好碰上了种植牙这么好的技术,才可以为父亲解决他的实际问题。给了我们做子女体现孝道的好机会。”
建议点击与在线专家一对一咨询
文章阐述内容无法针对您的个人状况,建议您与在线医生及时沟通,以更好的帮您解决牙齿问题。望闻问切中问医是步,请向在线医生详细阐述您的问题,专家在了解了您的状况后,将依据您的实际情况制定更适合您的治疗方案。
上一篇:郑州唯美牙周炎案例
下一篇:郑州唯美口腔溃疡案例
唯美口腔连锁·汇聚实力专家
唯美口腔连锁·品牌资讯