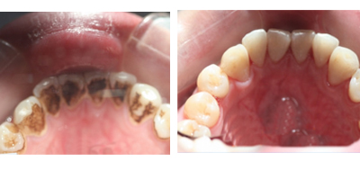
男人40一枝花,但是萧先生的43岁却因为难缠的牙结石而直接进入了50岁的生活状态。虽说工作稳定,家庭和睦,但是一直喜欢小孩的萧先生就是没办法和中年的来的小女儿亲昵。6岁的小女儿真真对这位老父亲的牙齿实在是不肯恭维,让这位父亲的爱女之心倍受打击。后来偶然间结识了郑州唯美牙科医院美牙专家赵德彪,这让萧先生找到了希望。
郑州唯美牙科医院美牙专家赵主任介绍说,口腔中牙结石的出现,主要是人的唾液中所含的矿物质,与口腔内的酸性分泌物产生反应而来,人的生理需要决定了人每天都必须分泌大量唾液,由于唾液分泌,唾液中的矿物质具备了跟口腔酸性液体长期持续反应的条件,这种长期反应的结果,产生酸性化合物,成为牙“石”的形成原因,这些反应物很容易附着在牙齿背面,或牙龈与牙齿结合处等刷牙也难以清洁的位置,时间长了,就变成顽固难除的衍生物——牙结石。
去除牙结石更有效的方法就是洗牙,赵德彪医生推荐萧先生采用喷砂洁牙深层洁牙护理。该技术不但能够清洁牙齿,还可以对牙齿抛光和全方位牙检,喷砂洁牙利用频率28kHz以上的超声波震动来彻底洁治,仅需15分钟即可达到清洁牙齿的功效,让洁牙变成一种享受。该技术的碳酸钙喷砂粉全面取代传统碳酸钠喷砂粉,具有圆滑柔和、无咸味、无涩感、恒温,无酸痛感,彻底快速等多项特点。
赵德彪医生提醒萧先生说,牙结石的治疗还需要注意护理:

1、刷牙:早晚刷牙、饭后漱口是防治牙石形成的更重要措施。使用保健牙刷,选用含氟牙膏,采用正确的方法-竖刷法进行刷牙,纠正横刷法。这样不仅可清除食物残渣、牙面菌斑、牙垢污物,防止牙结石的形成和沉积,而且还能起到按摩牙龈,促进血液循环,增强牙周组织的抗病能力的作用。
2、饮食:合理营养,粗细搭配。多吃富有维生素的粗纤维食物,如肉、蛋、各种蔬菜和水果,充分咀嚼以利于牙面清洁。少吃甜食及粘性很强的食物,不吃零食。
3、洗牙:洗牙前后超声波洗牙,是针对清除牙齿结石部份。因为牙结石更容易造成牙菌班的堆积,造成牙龈炎、牙龈出血,牙周病。所以去除牙结石是医疗行为。当然在治疗的同时,齿颈部,邻接面的结石去除掉了,牙齿也会有美白的表现。洗牙的弊端在于比较痛,会出比较多的血,还有洗后牙齿表面比较粗糙,牙渍牙石的再次出现更加来得快。更后就是有可能感染疾病。
上一篇:郑州唯美烟渍牙护理案例
下一篇:郑州唯美超声波洁牙案例
唯美口腔连锁·汇聚实力专家
唯美口腔连锁·品牌资讯