郑州哪里陶瓷牙齿
来源:郑州唯美口腔
赞: |
好评: |
阅读:
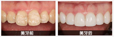
郑州哪里陶瓷牙齿好 不少人都知道陶瓷牙效果好,寿命长,美观得体,想为自己的缺牙美装一下,提升个人形象。但是又不太清楚陶瓷牙适不适合自己,也不知道郑州哪里陶瓷牙齿好?不着急,专家推荐郑州唯美口腔!先听专家是怎么解释的陶瓷牙的!

郑州烤瓷牙价钱,全瓷材料具有美观,色泽跟牙接近,生物相容性好等优点,故烤瓷牙极少发生牙龈变色,但其脆性大。目前大部分局限于前牙修复。近来,二氧化锆全瓷的成功开发应用,由于二氧化锆全瓷牙是通过计算机辅助设计、激光扫描,再由计算机程序控制研磨制作而成的,物理性能大大提高,增加韧性和硬度,有一些性能已超过了金属,是目前更为理想的全瓷牙和烤瓷牙。
适合做烤瓷牙的都有那些人?
一、贵金属--治疗牙齿强度更高无刺激 贵金属烤瓷牙的代表就是金合金烤瓷牙。黄金在我国很早就用作补牙的材料了,它是更理想的修复材料之一,拥有钛合金的优点,且强度更高,无刺激,而且金与瓷的结合很牢固,与组织的相容性更好,在瓷牙与牙龈接触的地方不会发青。另外,瓷粉能在黄金的表面反应自身的颜色,使烤瓷牙更美观,完全能满足美容修复的要求。
二、钛合金--恢复牙齿功能经济实惠 非贵金属烤瓷牙虽然价格低廉,但是与组织的相容性差,刺激性较大,可发生过敏现象及变色,因此不建议顾客选用这种材料的烤瓷牙。半贵金属烤瓷牙的代表是钛合金,主要成份是钛或者钯--银,钛合金烤瓷牙的价格介于非贵金属和贵金属之间,其生物相容性优于非贵金属,也比较耐久,可以避免牙龈出血及黑色牙龈的现象出现。而且经济、实用,适合大多数牙齿的修复,尤其适合后牙固定桥等固定修复。
三、全瓷牙--拥有明星一样的牙齿 全瓷牙分为铸瓷牙和德国电脑全瓷牙,全瓷牙的色泽无论在灯光下和自然光中都能保持自然色,因此成为目前影视明星和公众人物牙齿美容的宠儿。全瓷牙完全由瓷粉构成,颜色和层次得到更大程度显现。耐久性较好,可以在口腔内永久保存,没有金属基底,质量轻,密度仅为黄金的四分之一,佩戴更舒服;导热性能低,仅为黄金的十七分之一,更有利于保护牙髓健康。对光线的反射和散射更接近于天然牙,具有更好的美观效果。由于全瓷牙的价格较高,因此更适合于高收入阶层的美齿需求。
通过以上的介绍,可知烤瓷牙的种类分为贵金属烤瓷牙,非贵金属烤瓷牙,全瓷牙,大家在选择烤瓷牙时可以根据自身状况,慎重选择,当然如果你还是不够确定,可以到正规的牙科医院进行详细的咨询,根据专家的建议,从而选择更适合自己的烤瓷牙。
郑州唯美口腔医院斥巨资从国外引进口腔全景机、西诺德3d瓷睿刻等先进设备,以确保诊疗技术与接轨。经过努力,郑州唯美口腔已发展成为郑州口腔治疗的品牌牙科。百姓节省医疗开支。
郑州那做陶瓷牙齿好
郑州烤瓷牙,郑州唯美口腔秉承一贯的品牌形象,打造高端、优美的就诊环境;在专家团队建设上,先后与美国、瑞士、德国、韩国、日本、香港、台湾等地的口腔医疗机构开展经验技术交流活动,吸纳、汇聚了诸多国内外着名专家、学者投身于口腔医疗服务事业之中,培养并拥有一支医技精湛的齿科专家团队,逐步形成接轨、领先的口腔美容服务及管理模式。
在线咨询,一分钟预约挂号,医务人员将会与您一对一进行沟通。我们有中国更专业的网上挂号平台,为您提供便捷的预约就诊服务,为您推荐全国资质更深、技术更好的治疗专家,让你从此刻开始摆脱牙齿问题的困扰。
温馨提示:口腔健康问题,不要查看不专业的网站,不要问不专业的医生。