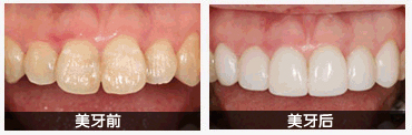
做烤瓷牙疼吗,烤瓷牙修复问题牙齿,形态、色泽逼真,仿真度高,受到许多有牙齿困扰的爱美人士的欢迎。大家可能都知道,做烤瓷牙需要磨牙,那么做烤瓷牙疼吗?下面听听郑州唯美口腔医院专家的介绍。

唯美口腔专家说,做烤瓷牙需要把自己的牙齿磨掉一些,然后再装上烤瓷牙,这种方法听上去会让人觉得对牙齿伤害很大,不过事实上,大家担心做烤瓷牙疼吗。因为手术过程中加入了麻醉技术,所以做烤瓷牙几乎是没有什么痛苦的。
随着医疗科研技术的进步,麻醉药物不断改进,可以在减轻对身体伤害的基础上发挥麻醉作用,配合口腔科医生的精确技术已经可以做到让患者的无痛的情况下完成烤瓷牙修复过程了,在这一过程中您只有精神上的紧张而没有肉体上的痛苦。确认麻醉良好以后,可以正常操作,所有的操作没有疼痛的感觉,仅仅是张嘴时间长不舒服。在牙齿预备完以后,戴上临时牙,可以保护你的牙齿,也不会感觉到疼痛。可能仅仅是牙龈由于排龈有一点轻度的不适,但是绝对可以忍受。
郑州唯美口腔医院技术推荐--3D全瓷牙
郑州唯美口腔拥有的3D全瓷牙采用更高端的氧化锆材料,运用先进的CT三维数字扫描技术、电脑智能CAD/CAM系统设计,在短时间内根据患者的口腔条件、脸型、肤色,量身定做个性化全瓷牙修复美容方案。
3D全瓷牙拥有完美的精密度;具有真牙相匹配的透光性,色泽逼真,可媲美自然牙;良好的生物相容性,对牙龈无刺激;强度绝佳,强度超出真牙,拥有卓越的咬合力量,无不良金属离子渗出,磨牙较少,更大程度地保留原有的牙齿组织,所以能达到更佳的美齿效果及与软组织的更舒适接触。
四大优势
1、色泽自然逼真
2、全瓷内冠更健康
3、牙冠制作更精确
4、不易崩瓷更稳定
郑州唯美口腔医院是按照标准设置的口腔医疗机构,引进先进口腔设备,环境优雅、整洁、独立诊室、四手操作、每位患者都由一名医师和护士热情接待。一人一钻、完全无菌、避免交互感染。服务周到、热忱、质量信誉,能够满足广大口腔患者的要求,优质方便快捷,医术求精,和谐为本。
做烤瓷牙疼吗,如果您对以上的内容,还有任何不明白的地方,欢迎点击在线咨询,与专家进行一对一交流,同时网上咨询预约,还可享免挂号费,无需排队优先就诊服务。
上一篇:烤瓷牙哪家医院好
下一篇:烤瓷牙做什么材质的比较好
唯美口腔连锁·汇聚实力专家
唯美口腔连锁·品牌资讯