烤瓷牙的材料如何选择?牙齿问题修复常用的方法就是烤瓷牙,但是随着时代的进步和技术的发展。烤瓷牙的材料也是越来越多,那么我们在选择烤瓷牙修复牙齿问题的时候,怎么选择烤瓷牙的材料呢?下面跟随郑州知名口腔科专家来了解一下。
烤瓷牙的材料如何选择
1、烤瓷牙之全瓷牙修复:全瓷牙的内冠是瓷,是一种透明的骨架。它的层次、色泽更接近真牙,对牙龈没有刺激,对光线的反射更接近天然牙。其绝佳的光学性质、极好的生物相容性、逼真的色泽,看上去要比金属烤瓷牙更自然、更美观、基本没有过敏,是目前成功人士的美牙新宠。
2、烤瓷牙之金沉积冠:金沉积冠烤瓷牙,它相当于24K金,是一种纯金牙。金属合金是镶牙更常使用的材料,分为贵金属(如金合金)、半贵金属(如银合金)和贱金属(如不锈钢)合金。
3、烤瓷牙之贵金属合金:主要成分是黄金与白金,颜色比同类产品具有更丰富完善的颜色体系,与天然牙颜色更接近,更具理想的生物相容性,使用安全,对人体没有任何刺激,就像耳环,如果戴纯金的或银的,一般不会感染,更接近自然牙的强度,使用年限更长久,形态逼真,更接近病人天然牙的形态,堪称“牙齿装潢”的理想材料。
4、烤瓷牙之钛合金:钛合金由于强度高,韧性好,比重仅是不锈钢的一半,口腔里不易氧化及地壳储量丰富等优点目前已用于制作活动假牙及固定假牙)等加入金属钛的成分,与身体组织相溶比较好。推荐阅读:3D全瓷牙
牙齿美容技术推荐——3D全瓷牙
中韩·唯美口腔拥有的3D全瓷牙采用更高端的氧化锆材料,运用先进的CT三维数字扫描技术、电脑智能CAD/CAM系统设计,在短时间内根据患者的口腔条件、脸型、肤色,量身定做个性化全瓷牙修复美容方案。3D全瓷牙拥有完美的精密度;具有真牙相匹配的透光性,色泽逼真,可媲美自然牙;良好的生物相容性,对牙龈无刺激;强度绝佳,强度超出真牙,拥有卓越的咬合力量,无不良金属离子渗出,磨牙较少,更大程度地保留原有的牙齿组织,所以能达到更佳的美齿效果及与软组织的更舒适接触。点击在线咨询,了解牙齿美容的优惠信息!在线预约可享更多优惠!
中韩·唯美口腔牙齿美容专家推荐

莫三心教授,主任医师,硕士研究生导师。唯美口腔特邀专家,河南省口腔医学领域知名专家、郑州大学知名教授。精湛技术:牙齿种植、口腔修复、牙齿美容修复曾多次获得卫生部及省市各级表彰。主编多部并且参与编写多部国家医学教材,发表学术论文20余篇。擅于口腔修复,并涵盖口腔专业各个领域,可谓是大师级的口腔专家,在国内口腔界享有很高的声望。
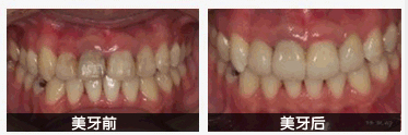
中韩·唯美口腔牙齿美容前后对比图

通过以上的介绍,相信您对这一问题已经有了更深的了解,中韩·唯美口腔专家指出,牙齿修复一定要到正规医院进行,以免由于手术不当而给自身造成终身遗憾。如果您还有其他问题,可以在线咨询专家,专家会为您做出耐心的解答。
上一篇:判断烤瓷牙好坏的方法
下一篇:烤瓷牙的类型有哪些
唯美口腔连锁·汇聚实力专家
唯美口腔连锁·品牌资讯