哪些因素决定烤瓷牙的效果?当牙齿出现问题了,想要恢复牙齿功能,还原更为美丽的笑容,离不开烤瓷牙的功劳。而做烤瓷牙的效果却是跟许多因素有着必然的联系,而这些因素也决定着烤瓷牙的更终效果,那么是哪些因素呢?
哪些因素决定烤瓷牙的效果
1、烤瓷牙的选择:烤瓷牙种类很多,不同烤瓷牙使用不同的材料制作,性能上有很大的差异,像贵金属烤瓷牙等具体更好的化学惰性和抗疲劳性,在密合性以及生物融合性上也更好,因此使用寿命会更长。
2、医生制作水平:医生的设计对烤瓷牙的质量有很大的影响,经验丰富的医生做出来的烤瓷牙套与牙齿的密合度更合理,也不会出现咬合不整齐的情况,烤瓷牙使的寿命自然会更长。
3、使用过程中的维护情况:日常生活中的保养对烤瓷牙的寿命有重要的意义,患者在平时需要注意保持口腔卫生,防止龋齿、牙周病等对牙齿造成危害。而且在使用过程中需要避免咬过硬的食物(核桃壳等),以免出现绷瓷的情况。
4、自己的牙要进行保健与维护:烤瓷牙也一样,更重要的是进行牙周方面的护理,也就是要保持牙齿的干净与健康,如果不能很好地维护牙周,自己的牙可以松动脱落,烤瓷牙也一样可以,所以维护好自己牙周的健康对烤瓷牙的寿命有致关重要的影响。
5、患者牙齿本身情况:烤瓷牙的寿命和患者牙齿的本身情况有很大的关系,如果患者牙齿本身粗且长,烤瓷牙的寿命会更长。推荐阅读:3D全瓷牙
牙齿美容技术推荐——3D全瓷牙
中韩·唯美口腔拥有的3D全瓷牙采用更高端的氧化锆材料,运用先进的CT三维数字扫描技术、电脑智能CAD/CAM系统设计,在短时间内根据患者的口腔条件、脸型、肤色,量身定做个性化全瓷牙修复美容方案。3D全瓷牙拥有完美的精密度;具有真牙相匹配的透光性,色泽逼真,可媲美自然牙;良好的生物相容性,对牙龈无刺激;强度绝佳,强度超出真牙,拥有卓越的咬合力量,无不良金属离子渗出,磨牙较少,更大程度地保留原有的牙齿组织,所以能达到更佳的美齿效果及与软组织的更舒适接触。点击在线咨询,了解牙齿美容的优惠信息!在线预约可享更多优惠!
中韩·唯美口腔牙齿美容专家推荐

莫三心教授,主任医师,硕士研究生导师。唯美口腔特邀专家,河南省口腔医学领域知名专家、郑州大学知名教授。精湛技术:牙齿种植、口腔修复、牙齿美容修复曾多次获得卫生部及省市各级表彰。主编多部并且参与编写多部国家医学教材,发表学术论文20余篇。擅于口腔修复,并涵盖口腔专业各个领域,可谓是大师级的口腔专家,在国内口腔界享有很高的声望。
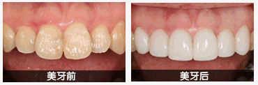
中韩·唯美口腔牙齿美容前后对比图

通过以上的介绍,相信您对这一问题已经有了更深的了解,中韩·唯美口腔专家指出,牙齿修复一定要到正规医院进行,以免由于手术不当而给自身造成终身遗憾。如果您还有其他问题,可以在线咨询专家,专家会为您做出耐心的解答。
上一篇:影响烤瓷牙价格的因素
下一篇:烤瓷牙有哪些优点
唯美口腔连锁·汇聚实力专家
唯美口腔连锁·品牌资讯