烤瓷牙的材料都有哪些?如今人们对口腔卫生健康越来越关注,不少患者选择对牙齿进行修复美白,烤瓷牙是更受欢迎的一项技术,可是很多患者对烤瓷牙的材料并不是很了解,那么烤瓷牙的材料都有哪些?
烤瓷牙的分类一般有金属烤瓷牙和全瓷牙两种,金属烤瓷牙又分为非贵金属烤瓷牙钛金属烤瓷牙和贵金属烤瓷牙:
1、贵金属烤瓷牙:内冠是由80%多的黄金再加入白金或铑等微量元素的合金组成。虽然价格比较偏高,但却有着显着的优点:因为金合金底层冠在阳光下反出天然牙的光泽,而且生物相容性好,安全系数搞,密合度高,瓷与金属的结合非常好。
2、非贵金属烤瓷牙:是由镍铬合金制成的金属内冠外高温烤瓷而成,因为其价格相对比较低,所以目前在我国应用面比较大。但是这种烤瓷牙并不完美,它的边缘密合性差,与人体的生物相容性差。
3、全瓷牙:全瓷牙顾名思义是无金属内冠的纯瓷烤瓷技术。因为没有了金属的限制,牙齿的层次和颜色得以更大程度地体现出来,所以全瓷牙的美观效果更好;且瓷对人体安全、无刺激。了解更多烤瓷牙,点击在线咨询,直接与专家相互交流!
4、纯钛烤瓷牙:这种烤瓷牙技术是在更近几年的发展中才逐渐成熟袭来。金属钛是一种生物金属,它的更大特点是对人体没有任何毒副作用,生物相容性非常好。但是因为它的加工难度比较高,所以直到更近这些年才开始在临床上推广开来。
中韩·唯美口腔牙齿美容技术推荐
中韩·唯美口腔拥有的3D全瓷牙采用更高端的氧化锆材料,运用先进的CT三维数字扫描技术、电脑智能CAD/CAM系统设计,在短时间内根据患者的口腔条件、脸型、肤色,量身定做个性化全瓷牙修复美容方案。3D全瓷牙拥有完美的精密度;具有真牙相匹配的透光性,色泽逼真,可媲美自然牙;良好的生物相容性,对牙龈无刺激;强度绝佳,强度超出真牙,拥有卓越的咬合力量,无不良金属离子渗出,磨牙较少,更大程度地保留原有的牙齿组织,所以能达到更佳的美齿效果及与软组织的更舒适接触。推荐阅读:3D全瓷牙
中韩·唯美口腔牙齿美容专家推荐

莫三心教授,主任医师,硕士研究生导师。唯美口腔特邀专家,河南省口腔医学领域知名专家、郑州大学知名教授。精湛技术:牙齿种植、口腔修复、牙齿美容修复曾多次获得卫生部及省市各级表彰。主编多部并且参与编写多部国家医学教材,发表学术论文20余篇。擅于口腔修复,并涵盖口腔专业各个领域,可谓是大师级的口腔专家,在国内口腔界享有很高的声望。点击在线咨询,了解牙齿美容的优惠信息!在线预约可享更多优惠!
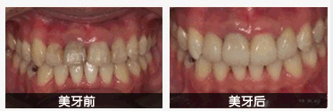
中韩·唯美口腔牙齿美容前后对比图

温馨提醒:以上介绍的是烤瓷牙的材料,如果您想要了解更多相关内容,您可以点击在线咨询,直接与我院口腔专家对话,请教中韩·唯美口腔医院专家,由专家给您做详细的解答。
上一篇:烤瓷牙失败以后如何挽回
下一篇:影响烤瓷牙价格的因素
唯美口腔连锁·汇聚实力专家
唯美口腔连锁·品牌资讯