郑州哪种烤瓷牙好?技术的逐渐成熟带动了烤瓷牙种类的增多,让许多朋友在选择烤瓷牙的陷入了暂时的不安定之中,只因不知道如何来选择。那么哪种烤瓷牙好呢?下面跟随郑州知名口腔科专家来了解一下。
中韩·唯美口腔专家介绍:烤瓷牙不仅为一些不完美的牙齿提供了梦幻般的治疗效果:晶莹洁白,形态均匀,也不影响牙齿的咀嚼功能。这种牙齿救星对牙齿缺损、牙列不齐、牙缝、四环素牙、氟牙症、畸形牙及残根都可以进行修复。
烤瓷牙的种类区分:
一、根据所用材质不同,烤瓷牙可以分为不同类型,比如钛合金烤瓷牙、镀金烤瓷牙、贵金属烤瓷牙、全瓷牙等。因为烤瓷牙的高品质和高度仿真性,已经获得了众多认可,目前更被大众广泛接受的是钛合金烤瓷牙和贵金属烤瓷牙。
二、更早的烤瓷牙多用镍铬合金,相对比较经济,但是由于镍铬合金理化性质相对不很稳定,镍元素缓慢释放,会致牙龈炎、牙龈出血、口腔异味、牙龈缘变黑等,所以目前多采用钛合金、贵金属、全瓷等材质的烤瓷牙。
三、贵金属合金烤瓷牙的主要成分是黄金与白金,颜色比同类产品具有更丰富完善的颜色体系,与天然牙颜色更接近,更具理想的生物相容性,使用安全,对人体无害,更接近自然牙的强度,使用年限更长久,形态逼真,更接近病人天然牙的形态,堪称“牙齿装潢”的理想材料。
四、还有一种用钛合金做材料的烤瓷牙,可避免牙龈出血及黑色牙龈等症状,使用年限极长;金属溶解后流动性高,可按照医生设计意图铸造,减少金属体积增加瓷牙颜色表现空间,提高美感。
五、全瓷牙是在外观和性能上更优越于金属烤瓷牙的品种,它们更大的区别在于内冠。全瓷的内冠是瓷,是一种透明的骨架。它的层次、色泽更接近真牙,对牙龈没有刺激,对光线的反射更接近天然牙。其绝佳的光学性质、极好的生物相容性、逼真的色泽,看上去要比金属烤瓷牙更自然、更美观、基本没有过敏,是目前成功人士的美牙新宠。推荐阅读:3D全瓷牙
中韩·唯美口腔牙齿美容技术推荐
中韩·唯美口腔拥有的3D全瓷牙采用更高端的氧化锆材料,运用先进的CT三维数字扫描技术、电脑智能CAD/CAM系统设计,在短时间内根据患者的口腔条件、脸型、肤色,量身定做个性化全瓷牙修复美容方案。3D全瓷牙拥有完美的精密度;具有真牙相匹配的透光性,色泽逼真,可媲美自然牙;良好的生物相容性,对牙龈无刺激;强度绝佳,强度超出真牙,拥有卓越的咬合力量,无不良金属离子渗出,磨牙较少,更大程度地保留原有的牙齿组织,所以能达到更佳的美齿效果及与软组织的更舒适接触。点击在线咨询,了解牙齿美容的优惠信息!在线预约可享更多优惠!
中韩·唯美口腔牙齿美容专家推荐

艾西川,主任医师,精湛技术:颌面外科、牙齿美容、1小时德国西诺德CAD/CAM3D齿雕全瓷修复。毕业于中国口腔著名学府——西安第四军医大学,原南京军区口外知名专家,郑州市口腔医院院长。从事口腔全科临床工作三十余年,对口腔内外科有丰富的临床经验,拥有万例成功案例。曾获市级科研成果奖两项,省级三项,多部专著被列为医大教材,在国内外知名刊物上发表专业论文20余篇,多次应邀参加国内外口腔大型研讨会,于口腔治疗方面有独到的治疗方法,深受客人好评。
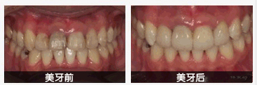
中韩·唯美口腔牙齿美容前后对比图

如果您还有想要了解的情况,可以点击我们的在线咨询,中韩·唯美口腔的在线专家会给您更专业,更详细的解答,或是拨打我们的24小时康复热线,与专家一对一详解。
唯美口腔连锁·汇聚实力专家
唯美口腔连锁·品牌资讯