做烤瓷牙痛不痛?选择烤瓷牙修复牙齿问题的时候,有的朋友担心烤瓷牙手术过程中,要对牙齿进行磨擦,会产生疼痛。其实,在烤瓷牙手术的过程中是不会给我们带来疼痛的。下面请郑州知名口腔科专家来了解一下。
中韩·唯美口腔专家介绍:在做烤瓷牙的过程中,医生会对患者进行局部的麻醉,配合口腔科医生的精确技术已经可以做到让患者的无痛的情况下完成烤瓷牙修复过程了,在这一过程中您只有精神上的紧张而没有肉体上的痛苦。确认麻醉良好以后,可以正常操作,所有的操作没有疼痛的感觉,仅仅是张嘴时间长会有些不舒服。
做烤瓷牙痛不痛?在牙齿预备完以后,戴上临时牙,可以保护你的牙齿,也不会感觉到疼痛。可能仅仅是牙龈由于排龈有一点轻度的不适,但是绝对可以忍受。因此,担心做烤瓷牙会有疼痛的朋友可以不必太过于担忧。推荐阅读:3D全瓷牙
中韩·唯美口腔拥有的3D全瓷牙采用更高端的氧化锆材料,运用先进的CT三维数字扫描技术、电脑智能CAD/CAM系统设计,在短时间内根据患者的口腔条件、脸型、肤色,量身定做个性化全瓷牙修复美容方案。3D全瓷牙拥有完美的精密度;具有真牙相匹配的透光性,色泽逼真,可媲美自然牙;良好的生物相容性,对牙龈无刺激;强度绝佳,强度超出真牙,拥有卓越的咬合力量,无不良金属离子渗出,磨牙较少,更大程度地保留原有的牙齿组织,所以能达到更佳的美齿效果及与软组织的更舒适接触。点击在线咨询,了解全瓷牙的优惠信息!在线预约可享更多优惠!
中韩·唯美口腔牙齿美容专家推荐

艾西川,主任医师,精湛技术:颌面外科、牙齿美容、1小时德国西诺德CAD/CAM3D齿雕全瓷修复。毕业于中国口腔著名学府——西安第四军医大学,原南京军区口外知名专家,郑州市口腔医院院长。从事口腔全科临床工作三十余年,对口腔内外科有丰富的临床经验,拥有万例成功案例。曾获市级科研成果奖两项,省级三项,多部专著被列为医大教材,在国内外知名刊物上发表专业论文20余篇,多次应邀参加国内外口腔大型研讨会,于口腔治疗方面有独到的治疗方法,深受客人好评。
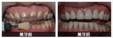
中韩·唯美口腔牙齿美容前后对比图

在线咨询,一分钟预约挂号,医务人员将会与您一对一进行沟通。中韩·唯美口腔有中国更专业的网上挂号平台,为您提供更便捷的预约就诊服务,为您推荐全国资质更深、技术更好的治疗专家,让你从此刻开始摆脱疾病的困扰。
上一篇:做烤瓷牙到底好不好
下一篇:做烤瓷牙的危害是什么
唯美口腔连锁·汇聚实力专家
唯美口腔连锁·品牌资讯