烤瓷牙是修复牙齿问题常用的方法,伴随着技术的发展烤瓷牙的种类也是越来越多。那么对于想选择烤瓷牙来修复牙齿问题的我们面对烤瓷牙的种类众多问题,又该如何选择呢?烤瓷牙的价格又是多少呢?下面来听听专家的介绍。
烤瓷牙种类价格
中韩·唯美口腔专家指出烤瓷牙,根据金属内冠的不同,可分为金属烤瓷牙和非金属烤瓷牙两大类,每种类型的烤瓷牙都各有优势,患者在为自己挑选烤瓷牙的时候,一定要选择更适合自己的,因为更适合的才是更好的!
大众型:钛合金烤瓷牙
专家指出钛合金烤瓷牙加入了钛元素的烤瓷牙,在生物相容性方面有了极大的提升,这种材料制成的烤瓷牙,比较符合人体健康,对身体没有毒副作用,经久耐用,不易绷瓷。
经济型:钴铬合金烤瓷牙
中韩·唯美口腔专家认为钴铬合金烤瓷牙价格比较实惠,经济又耐用,耐腐蚀性较高,与镍铬合金相比更安全,不容易出现牙龈黑线的现象,与贵金属烤瓷牙相比,价格又便宜很多,是比较经济的烤瓷牙种类。
优良型:贵金属烤瓷牙
专家指出贵金属烤瓷牙是用指黄金、钯金、白金等贵重金属做的烤瓷牙内冠,因此,色泽逼真自然,更能接近真牙,完美满足美容修复的要求,具有更强大的金属稳定性和抗腐蚀能力,具有全瓷牙的美感,又有金属烤瓷牙的强度,是目前更为推崇的金属烤瓷牙。
尊贵型:全瓷牙
中韩·唯美口腔专家认为全瓷牙,顾名思义就是没有金属作为内冠,全部使用瓷粉铸造而成。这类烤瓷牙边缘密合度极高、生物相容性极好、金属稳定性和耐磨性极强,相比其他类型的烤瓷牙美观效果更逼真,是更尊贵的烤瓷牙类型。推荐阅读:3D全瓷牙
中韩·唯美口腔拥有的3D全瓷牙采用更高端的氧化锆材料,运用先进的CT三维数字扫描技术、电脑智能CAD/CAM系统设计,在短时间内根据患者的口腔条件、脸型、肤色,量身定做个性化全瓷牙修复美容方案。3D全瓷牙拥有完美的精密度;具有真牙相匹配的透光性,色泽逼真,可媲美自然牙;良好的生物相容性,对牙龈无刺激;强度绝佳,强度超出真牙,拥有卓越的咬合力量,无不良金属离子渗出,磨牙较少,更大程度地保留原有的牙齿组织,所以能达到更佳的美齿效果及与软组织的更舒适接触。点击在线咨询,了解全瓷牙的优惠信息!在线预约可享更多优惠!
中韩·唯美口腔牙齿美容专家推荐

艾西川,主任医师,精湛技术:颌面外科、牙齿美容、1小时德国西诺德CAD/CAM3D齿雕全瓷修复。毕业于中国口腔著名学府——西安第四军医大学,原南京军区口外知名专家,郑州市口腔医院院长。从事口腔全科临床工作三十余年,对口腔内外科有丰富的临床经验,拥有万例成功案例。曾获市级科研成果奖两项,省级三项,多部专著被列为医大教材,在国内外知名刊物上发表专业论文20余篇,多次应邀参加国内外口腔大型研讨会,于口腔治疗方面有独到的治疗方法,深受客人好评。
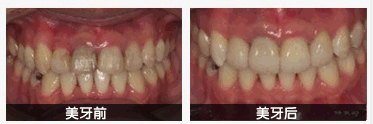
中韩·唯美口腔牙齿美容前后对比图

如果您还有想要了解的情况,可以点击我们的在线咨询,中韩·唯美口腔的在线专家会给您更专业,更详细的解答,或是拨打我们的24小时康复热线,与专家一对一详解。
上一篇:金属与非金属两种烤瓷牙有哪些不同
下一篇:做烤瓷牙到底好不好
唯美口腔连锁·汇聚实力专家
唯美口腔连锁·品牌资讯