做烤瓷牙需要多长时间?不管做什么事情都是一个循序渐进的过程,牙齿问题修复当然也是一样。烤瓷牙使牙齿修复常用的方法,那么做烤瓷牙需要多长时间呢?下面跟随郑州知名口腔科专家来了解一下。
做烤瓷牙需要多长时间?做烤瓷牙的时间会因以下几种情况有所不同:
1、如果牙齿的健康状况完好,但是由于颜色问题影响美观,想通过烤瓷冠修复来改善美观,这种情况需要的时间就比较短,次就诊磨完牙咬了牙印后,会制作暂时的塑料冠来保持美观。大概需要八到十天左右的工作日来制作烤瓷冠的金属内冠,然后试戴内冠是否合适,如果合适就可以选择合适的颜色来在上面烤瓷,通常再需要一周左右的时间。总共加起来的时间大概是三周左右。
2、如果牙齿有根尖病变而没有经过完善的根管治疗,在做烤瓷冠之前就需要先做治疗,治疗完成后需要观察至少一周的时间才能开始烤瓷冠修复。如果牙齿有牙体缺损,就不能直接烤瓷冠修复,需要根冠治疗后,先做桩,恢复做烤瓷冠所需要的基本的形状,然后才能做烤瓷冠修复。
3、做烤瓷牙的一般过程。首先医生会对牙齿进行调磨,将牙齿磨削成规定的外形,然后制作牙齿的模型、记录牙齿的颜色并制作一个塑料的临时牙;然后医生就会拿做好的烤瓷牙在患者的嘴里试戴,如果有不合适的地方要进行一点修改,修改完毕之后用牙科用的粘接材料将烤瓷牙永久地粘在患者原来的基牙上,一个烤瓷牙的制作过程就结束了。推荐阅读:3D全瓷牙
烤瓷牙更好的技术——3D全瓷牙
中韩·唯美口腔拥有的3D全瓷牙采用更高端的氧化锆材料,运用先进的CT三维数字扫描技术、电脑智能CAD/CAM系统设计,在短时间内根据患者的口腔条件、脸型、肤色,量身定做个性化全瓷牙修复美容方案。3D全瓷牙拥有完美的精密度;具有真牙相匹配的透光性,色泽逼真,可媲美自然牙;良好的生物相容性,对牙龈无刺激;强度绝佳,强度超出真牙,拥有卓越的咬合力量,无不良金属离子渗出,磨牙较少,更大程度地保留原有的牙齿组织,所以能达到更佳的美齿效果及与软组织的更舒适接触。点击在线咨询,了解全瓷牙的优惠信息!在线预约可享更多优惠!
中韩·唯美口腔牙齿美容专家推荐

莫三心教授,主任医师,硕士研究生导师。唯美口腔特邀专家,河南省口腔医学领域知名专家、郑州大学知名教授。精湛技术:牙齿种植、口腔修复、牙齿美容修复曾多次获得卫生部及省市各级表彰。主编多部并且参与编写多部国家医学教材,发表学术论文20余篇。擅于口腔修复,并涵盖口腔专业各个领域,可谓是大师级的口腔专家,在国内口腔界享有很高的声望。
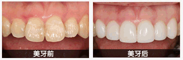
中韩·唯美口腔牙齿美容前后对比图

如果您觉得我们的文章没有解释的很清楚,或者还有其他疑问,您可以直接点击我们的在线咨询医生,中韩·唯美口腔的专业咨询医生会给您耐心的,详细的解答,并给您一个满意的答复!
上一篇:烤瓷牙手术有哪些危害
下一篇:金属与非金属两种烤瓷牙有哪些不同
唯美口腔连锁·汇聚实力专家
唯美口腔连锁·品牌资讯