做烤瓷牙会不会有危害?烤瓷牙是修复牙齿更常用的方法,许多朋友在选择修复牙齿的时候,都会选在使用烤瓷牙来修复牙齿,解决烦恼。但是对于烤瓷牙的知识,有些朋友也是存在疑问的,烤瓷牙会不会给口腔带来危害?下面跟随郑州知名口腔科专家来了解一下。
做烤瓷牙会不会有危害
一、烤瓷牙是一种现在非常常见的牙齿修复方式,这种方式通过在原来牙齿上套一层新的牙冠来进行修复,其对于牙齿的伤害是要取决于选用的材料和专家的水平的,好的专家和材料能更大限度避免这种问题,使您的牙齿美白达到更佳效果。
二、虽然说做烤瓷牙会磨除一些牙本质,但这都是专业的牙科医生的操作下进行的,全身由计算机监控,从而就保证了外形精确,所选用的生物相容性级高,能够更快速度和原来的基牙融合,效果持续时间长久,无痛不损伤身体,受到了人们的追捧。推荐阅读:3D全瓷牙
三、烤瓷牙不断不会伤害到牙齿本身,而且还能快速有效的帮助我们改善牙齿的缺陷问题,所以烤瓷牙美牙确实是值得广大求美者选择的美牙技术。你对烤瓷牙的问题,还有哪些疑虑呢?点击在线咨询,直接与专家对话,了解详情!
烤瓷牙更好的方法——3D全瓷牙
中韩·唯美口腔拥有的3D全瓷牙采用更高端的氧化锆材料,运用先进的CT三维数字扫描技术、电脑智能CAD/CAM系统设计,在短时间内根据患者的口腔条件、脸型、肤色,量身定做个性化全瓷牙修复美容方案。3D全瓷牙拥有完美的精密度;具有真牙相匹配的透光性,色泽逼真,可媲美自然牙;良好的生物相容性,对牙龈无刺激;强度绝佳,强度超出真牙,拥有卓越的咬合力量,无不良金属离子渗出,磨牙较少,更大程度地保留原有的牙齿组织,所以能达到更佳的美齿效果及与软组织的更舒适接触。点击在线咨询,了解全瓷牙的优惠活动!在线预约可享更多优惠!
中韩·唯美口腔牙齿修复专家推荐

艾西川,副主任医师,精湛技术:颌面外科、牙齿美容、1小时德国西诺德CAD/CAM3D齿雕全瓷修复。毕业于中国口腔著名学府——西安第四军医大学,原南京军区口外知名专家,郑州市口腔医院院长。从事口腔全科临床工作三十余年,对口腔内外科有丰富的临床经验,拥有万例成功案例。曾获市级科研成果奖两项,省级三项,多部专著被列为医大教材,在国内外知名刊物上发表专业论文20余篇,多次应邀参加国内外口腔大型研讨会,于口腔治疗方面有独到的治疗方法,深受客人好评。
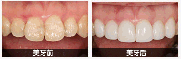
中韩·唯美口腔牙齿修复前后对比图

温馨提示:如果你在阅读文章时碰到不清楚的地方,可以通过在线咨询中韩·唯美口腔的专家;如果你需要看病又不想排队挂号,也可以通过这里提前预约,我们将免费为你安排。
上一篇:贵金属烤瓷牙有哪些优势
下一篇:郑州烤瓷牙的费用是多少
唯美口腔连锁·汇聚实力专家
唯美口腔连锁·品牌资讯