郑州烤瓷牙方法哪种好?修复牙齿常用的方法当属于烤瓷牙,烤瓷牙以其独特的优越性早已俘获广大朋友的心,但是随着技术的发展,烤瓷牙技术的逐渐成熟,也推动者烤瓷牙种类的发展,那么哪种烤瓷牙的方法好呢?下面跟随郑州知名口腔科专家来了解一下!
中韩·唯美口腔专家介绍:烤瓷牙美观和舒适的特点是其他种类的假牙所不能比拟的。烤瓷牙作为一种比较理想的修复体,逐渐被大家所接受。烤瓷牙虽好,烤瓷牙种类也多,因此在决定做哪种烤瓷牙的时候你一样会犹豫。要说哪种烤瓷牙比较好,那还得选择一种更适合自己的烤瓷牙。
烤瓷牙的种类
1、非贵金属烤瓷牙:主要是在镍铬合金制成的金属内冠外高温烤瓷而成,其价格相对较低,但是这种烤瓷牙存在一些缺点。
2、贵金属烤瓷牙:选用黄金、白金、钯等贵重金属制作内冠,然后在其表面用与自然牙色相似的瓷粉恢复牙外形,在真空烤瓷炉内烤制成烤瓷牙。
3、半贵金属烤瓷牙:代表是钴铬合金烤瓷牙,其生物相容性优于非贵金属,也比较耐久,可以避免牙龈出血及黑色牙龈的现象出现;钴铬合金烤瓷牙的价格介于非贵金属烤瓷牙和贵金属烤瓷牙之间,价格比较适中,是一款适合大众的经济型烤瓷牙。推荐阅读:3D全瓷牙
4、全瓷牙:全瓷牙与其它烤瓷牙更大的区别在于内冠,全瓷的内冠是一种透明的骨架,由于无金属基底结构,不透金属色,所以色泽自然,层次感强,透明效果理想,它的层次、色泽更接近真牙。哪种烤瓷牙适合你呢?点击在线咨询,直接与专家对话了解详情!
中韩·唯美口腔拥有的3D全瓷牙采用更高端的氧化锆材料,运用先进的CT三维数字扫描技术、电脑智能CAD/CAM系统设计,在短时间内根据患者的口腔条件、脸型、肤色,量身定做个性化全瓷牙修复美容方案。3D全瓷牙拥有完美的精密度;具有真牙相匹配的透光性,色泽逼真,可媲美自然牙;良好的生物相容性,对牙龈无刺激;强度绝佳,强度超出真牙,拥有卓越的咬合力量,无不良金属离子渗出,磨牙较少,更大程度地保留原有的牙齿组织,所以能达到更佳的美齿效果及与软组织的更舒适接触。点击在线咨询,了解全瓷牙的优惠活动!在线预约可享更多优惠!
中韩·唯美口腔牙齿美容专家推荐

莫三心教授,主任医师,硕士研究生导师。唯美口腔特邀专家,河南省口腔医学领域知名专家、郑州大学知名教授。精湛技术:牙齿种植、口腔修复、牙齿美容修复曾多次获得卫生部及省市各级表彰。主编多部并且参与编写多部国家医学教材,发表学术论文20余篇。擅于口腔修复,并涵盖口腔专业各个领域,可谓是大师级的口腔专家,在国内口腔界享有很高的声望。
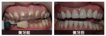
中韩·唯美口腔牙齿美容前后对比图

如果您觉得我们的文章没有解释的很清楚,或者还有其他疑问,您可以直接点击中韩·唯美口腔的在线咨询医生,我院专业咨询医生会给您耐心的,详细的解答,并给您一个满意的答复!
上一篇:哪种材料的烤瓷牙最安全
下一篇:一颗普通烤瓷牙的寿命是多久
唯美口腔连锁·汇聚实力专家
唯美口腔连锁·品牌资讯