烤瓷牙修复牙齿好不好?烤瓷牙修复牙齿问题已得到很多朋友的欢迎,但是对于烤瓷牙真正的修复效果,以及修复之后所遇到的有些状况,使有少数朋友认为烤瓷牙是存在不少危害的,其实不然。下面跟随郑州知名口腔科专家来了解一下烤瓷牙修复牙齿到底好不好?
烤瓷牙修复牙齿好不好?烤瓷牙的优势是什么
1、具有良好的边缘封闭性,烤瓷牙的制作要求边缘贴合,在龈下1mm处,加上专用非水溶性的粘结材料,就保证了边缘的密封。
2、美观,颜色可调制成真牙颜色一样,当然全瓷牙颜色更理想,折光性几乎跟真牙一致。
3、保护牙体硬组织和牙髓,因为需做烤瓷牙的牙齿往往是变色龋坏多的牙齿,烤瓷冠制作完成后,整个真牙就被金色围在中间,咀嚼时的力量作用在牙冠上,不会折裂或崩掉,而粘结瓷牙冠的粘结剂及瓷层,有良好的绝缘性,防止了外界刺激对牙髓的伤害。
4、良好的生物相容性,特别是生物贵金属制作的瓷牙和全瓷牙,因其电的化学惰性而具有抗腐蚀性,组织无过敏,而普通的不锈钢瓷牙,戴用一段时间,龈缘则可见一暗灰色的边缘。
5、极高的强度,金嘱与陶瓷粉在高温下熔融结合在一起后,足以承受口腔内的咀嚼力,贵金属与陶瓷牙结合力更强大。点击在线咨询,直接与专家对话,了解自己是否适合烤瓷牙修复!
中韩·唯美口腔专家介绍:普通烤瓷牙是目前国内应用更多的烤瓷牙,造价低经济实用,较为坚硬,抗压强度好,而全瓷牙坚固美观,修复更高,一般不会出现牙龈边缘变黑、红肿、出血、萎缩等情况,并且不释放影响健康因素的金属离子,从健康的角度和美观的角度来看是更佳选择。推荐阅读:3D全瓷牙
中韩·唯美口腔拥有的3D全瓷牙采用更高端的氧化锆材料,运用先进的CT三维数字扫描技术、电脑智能CAD/CAM系统设计,在短时间内根据患者的口腔条件、脸型、肤色,量身定做个性化全瓷牙修复美容方案。3D全瓷牙拥有完美的精密度;具有真牙相匹配的透光性,色泽逼真,可媲美自然牙;良好的生物相容性,对牙龈无刺激;强度绝佳,强度超出真牙,拥有卓越的咬合力量,无不良金属离子渗出,磨牙较少,更大程度地保留原有的牙齿组织,所以能达到更佳的美齿效果及与软组织的更舒适接触。点击在线咨询,了解全瓷牙的优惠活动!在线预约可享更多优惠!
中韩·唯美口腔牙齿修复专家推荐

莫三心教授,主任医师,硕士研究生导师。唯美口腔特邀专家,河南省口腔医学领域知名专家、郑州大学知名教授。精湛技术:牙齿种植、口腔修复、牙齿美容修复曾多次获得卫生部及省市各级表彰。主编多部并且参与编写多部国家医学教材,发表学术论文20余篇。擅于口腔修复,并涵盖口腔专业各个领域,可谓是大师级的口腔专家,在国内口腔界享有很高的声望。
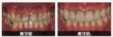
中韩·唯美口腔牙齿修复前后对比图

如果您还有其他疑问请点击中韩·唯美口腔在线咨询专家为您做详细的解答。一分钟预约挂号,医务人员将会与您一对一进行沟通。我们有中国更专业的网上挂号平台,为您提供更便捷的预约就诊服务,为您推荐全国资质更深、技术更好的口腔专家,让你从此刻开始摆脱牙齿问题的困扰。
上一篇:郑州烤瓷牙费用是多少
下一篇:烤瓷牙的适应症有哪些
唯美口腔连锁·汇聚实力专家
唯美口腔连锁·品牌资讯