烤瓷牙是修复牙齿出现的缺损,严重色变,畸形的一种常用的方法,但是随着烤瓷牙医院的批量产生,谁也无法阻挡,所以我们在选择做烤瓷牙的时候,要对烤瓷牙进行一个详细的了解。下面我们跟随郑州知名口腔专家来来了解一下烤瓷牙的危害。
做烤瓷牙的危害
连体烤瓷牙容易引起继发牙病
一般正规医院的烤瓷牙专家不会赞同使用连体烤瓷牙,因为连体烤瓷牙的弊端很多,而且不好控制,从而导致引发各种牙病,口腔专家提醒,做烤瓷牙一定要到正规的口腔医院接受治疗,很多人为了图便宜而吃尽了苦头,不正规的诊所软硬件设施均无法保障,给口腔组织的交叉感染提供大量“温床”,因此只有选择正规专业,您的烤瓷牙才有保障 。
烤瓷牙材料导致过敏以及出血黑线
与人体的生物相容性差,部分患者配戴一段时间后颈缘处的牙龈组织会出现“黑线”,在国外甚至还有此类烤瓷牙引发的过敏反应的病历报道,要完全避免这种烤瓷牙的危害,需要选择技术好的牙医和技师,并且选择贵金属烤瓷牙或者全瓷牙。但是,因为经济原因,不是所有患者都愿意承担贵金属烤瓷牙或者全瓷牙的高昂费用,怎么办?专家建议这些朋友选择技术高超的医生和技师,技术好的医生可以减小贱金属烤瓷牙出现牙龈黑线的几率,当然,因为材料的特性,这样做无法完全避免牙龈黑线的发生。那种烤瓷牙材料好呢?点击在线咨询,直接与专家对话,了解详情!
一般说来烤瓷牙本身不具有什么危害性,烤瓷牙是目前更理想、更流行的修复体,同样受到绝大多数爱美人士的欢迎。由于一些不正规的医院在装烤瓷牙的过程中和医生的治疗水平及医院的医疗条件限制难免会存在一些“危害”,而这些所谓烤瓷牙的危害完全可以用高科技的设备以及先进的技术和精湛的医术来避免。推荐阅读:3D美容冠
烤瓷牙技术推荐——3D全瓷牙
中韩·唯美口腔拥有的3D全瓷牙采用更高端的氧化锆材料,运用先进的CT三维数字扫描技术、电脑智能CAD/CAM系统设计,在短时间内根据患者的口腔条件、脸型、肤色,量身定做个性化全瓷牙修复美容方案。3D全瓷牙拥有完美的精密度;具有真牙相匹配的透光性,色泽逼真,可媲美自然牙;良好的生物相容性,对牙龈无刺激;强度绝佳,强度超出真牙,拥有卓越的咬合力量,无不良金属离子渗出,磨牙较少,更大程度地保留原有的牙齿组织,所以能达到更佳的美齿效果及与软组织的更舒适接触。点击在线咨询,了解全瓷牙的优惠信息!在线预约可享更多优惠!
中韩·唯美口腔牙齿美容专家推荐

艾西川,副主任医师,精湛技术:颌面外科、牙齿美容、1小时德国西诺德CAD/CAM3D齿雕全瓷修复。毕业于中国口腔著名学府——西安第四军医大学,原南京军区口外知名专家,郑州市口腔医院院长。从事口腔全科临床工作三十余年,对口腔内外科有丰富的临床经验,拥有万例成功案例。曾获市级科研成果奖两项,省级三项,多部专著被列为医大教材,在国内外知名刊物上发表专业论文20余篇,多次应邀参加国内外口腔大型研讨会,于口腔治疗方面有独到的治疗方法,深受客人好评。
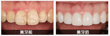
中韩·唯美口腔牙齿美容前后图片对比

如果您还有想要了解的情况,可以点击我们的在线咨询,中韩·唯美口腔的在线专家会给您更专业,更详细的解答,或是拨打我们的24小时康复热线,与专家一对一详解。
唯美口腔连锁·汇聚实力专家
唯美口腔连锁·品牌资讯