一般牙齿缺失了很多人都会想到选择镶烤瓷牙,烤瓷牙似乎形成了潮流席卷了牙齿修复中的每个角落,之所以烤瓷牙如此吃香不仅仅是因为烤瓷牙能够修复各种缺损的牙齿,而且烤瓷牙也是牙齿美容美白的法宝之一,然而镶烤瓷牙费用也是很多患者心中的疑问,那么镶烤瓷牙费用是多少?
中韩唯美口腔的专家指出,龋齿,牙齿缺损,四环素牙,氟斑牙等牙齿情况都适合做烤瓷牙,因此不同的症状所需要的费用也不相同,而且镶烤瓷牙费用还受到地域,医院,操作医生等影响。
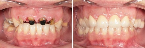
镶牙不注意,导致牙坏掉
由于烤瓷牙对医生技术和设备要求很严格,技术和设备不达标易出现,拔牙疼痛,牙齿松动,多年后牙龈出现黑线,甚至烤瓷牙绷瓷等情况,而且牙齿对我们日后的生活很重要,因此选择一家正规,有实力的口腔医院是很有必要的。镶牙的注意事项有哪些?请点击在线咨询,与专家进行交流!
实力+技术+设备+服务=中韩唯美口腔
唯美是一家化高端口腔私人会所,是中原地区数字化口腔专业机构,集预防、保健、治疗、修复为一体,与韩国、法国、美国等国家和地区的口腔医疗单位建立了良好的学术交流与技术合作关系。
唯美口腔秉承林则先生(AshelyWoodwardLindsay,1884-1968,加拿大人,中国现代牙医学之父)将口腔医学发扬光大的精神,以“微笑赞美生命的理念”为己任,追求世界先进技术,注重客人诊疗体验,致力于打造化高端口腔私人会所,并赢得社会各界的肯定及支持。
唯美口腔的管理严格遵循美国齿科协会ADA的标准,实行的是标准的四手操作医疗体系,由医生与助手共同完成治疗工作;所有器械均经过严格的消毒,主要材料均为进口优质材料,使用的设备均为上先进的设备,完全杜绝交叉感染,进而保证了治疗的质量,确保了治疗的安全和客人的舒适性,是一家绿色环保、安全放心的化高端口腔私人会所。
唯美口腔上乘技术保障
“唯美口腔拥有一系列与潮流接轨的高科技设备,如即刻种植修复系统、1小时德国西诺德CAD/CAM3D齿雕全瓷修复系统、靶向无形正畸系统、四维美牙系统、深蓝冷光美白系统、芬兰普兰梅卡(Planmeca)三维口腔检测CT等,每一项技术都是目前上更上乘的,其手术室是中原标准口腔手术室营运基地,全程无菌可视化操作。并由多位知名牙科专家亲诊,为每一例案例的成功实施奠定基础,安全放心有保障。推荐阅读:烤瓷牙的劣势有哪些
中韩唯美口腔操作规范
当中国多数口腔机构还停留在开放式的大诊室时,唯美口腔早已实现“一人一机一诊室”。但这还不足以表达唯美口腔对尊贵客人的尊重,唯美口腔为会员配备的VIP诊室,不仅装修高档典雅,空间够大,还配有舒适的沙发、高清电视、醇香饮品,让您的陪同好友也能同享您的尊贵。
烤瓷牙虽然有诸多的优点,但是镶烤瓷牙是一个漫长的过程,对于上班族和学习比较紧张的学生来说没有很多的时间去镶牙,如果您想快速镶牙,而且美观度和相容性更好的话建议您选择3D美容冠。
3D美容冠镶牙,美牙,工作都不误
专家介绍:美容冠具有美牙不拔牙,无痛苦,时间短,牙齿坚固,多年后牙龈不会出现黑线等优点,从而达到终生有保障的美牙效果。下面我们来具体介绍一下。
1. 美观大方。“美容冠”牙齿美容技术采用更新数码科技,精确分析你的牙齿形态以及病症,再采用3D定位系统,由专业的美容牙医为你制定美牙方案,成形后的牙齿美观大方,像真牙一般不易分辨。
2. 色泽逼真。引进国外比色技术,根据就诊者不同的牙色,通过29个牙色层次化类比,使成形后的牙齿达到完美的色调统一,天然逼真,常年保持美丽天然的光泽。
3.不拔牙安全无痛。南京华美采用先进的无痛技术,美牙不需动及牙根,彻底解除你爱美又怕痛的顾虑。整个过程在轻松的音乐中完成。
4. 比正常牙齿更坚固。“美容冠”比旧时代的传统烤瓷牙更坚固,更新科技的粘贴技术,终生不脱落。数据分析显示,经“美容冠”美容后的牙齿至少可以承受50公斤拉力。
5. 高效快速。更新科技成果的应用,只需1小时就可轻松拥有一口靓牙,中韩唯美口腔美容冠不仅让你有亮白的牙齿,更能够保证更好的微笑曲线。美容冠能取得怎么样的效果,点击在线咨询,与专家一对一交流!

中韩·唯美牙齿美容专家推荐

程玲,口腔执业医师,精湛技术:牙齿美容、口腔内科、1小时德国西诺德CAD/CAM3D齿雕全瓷修复。毕业于河南医科大学,先后在华西口腔医学院及三级甲等医院口腔中心工作,积累了丰富的临床经验。在固定修复、美齿美白方面技艺精湛有着突出优势,曾参与中韩美容整形峰会,并于核心期刊发表论文多篇。该医师技术娴熟,操作规范轻柔,行医严谨,待人真诚,已成功完成近千例的牙齿美容修复,深得患者好评。
中韩·唯美口腔美容冠修复前后对比

在线咨询,一分钟预约挂号,医务人员将会与您一对一进行沟通。我们有中国更专业的网上挂号平台,为您提供更便捷的预约就诊服务,为您推荐全国资质更深、技术更好的治疗专家,让你从此刻开始摆脱疾病的困扰。
唯美口腔连锁·汇聚实力专家
唯美口腔连锁·品牌资讯