烤瓷牙会伤害牙齿吗?牙齿缺损,着色常常会有不少的尴尬和麻烦一起出现,而烤瓷牙良好的修复牙齿效果使各种难堪和麻烦迎刃而解,因此越来越多的患者选择烤瓷牙修复牙齿,然而烤瓷牙使用者的日益增多各种的疑问就逐渐的显露了出来,那么烤瓷牙会伤害牙齿吗?
专家解析道:普遍来说做烤瓷牙是对人体没有危害的,不过烤瓷牙是属于90年代技术,时间长久之后就会因为烤瓷牙的材料和技术问题会出现牙龈黑线、颜色失真、口臭等弊端,需要更换材料。当然如果您贪图了便宜选择了不正规的医院,采用了低劣的美牙技术。那么出现了问题也是在所难免。
烤瓷牙的危害主要有以下几个方面:
一、牙齿变色
瓷是很稳定的东西,烤瓷牙的颜色不会随着时间的变化改变,烤瓷牙不管做得过黄还是过白都不会逐渐变得跟自己的牙齿颜色趋近。所以颜色不好的烤瓷牙是肯定需要重新制作的,不要相信医生“时间久了烤瓷牙就会跟牙齿颜色变得接近”之类的话。
二、真牙龋坏
因为不密合,烤瓷牙和真牙之间藏纳的细菌会逐渐腐蚀真牙,造成真牙龋坏,时间久了真牙甚至会完全烂光,烤瓷牙成为无本之木。有的牙医误导患者,“只要真牙不坏,烤瓷牙就不会坏”,我要告诉您的是,烤瓷牙当然不会坏,埋在地下一千多年的古董瓷器,只要您不砸它,一件件都色泽光鲜,质感良好,可墓主的尸身,早就化作泥土了。
三、咬合疼痛
一般是烤瓷牙制作过程中咬合没有调整好造成的。如果是轻微的咬合问题,可以调整咬合后继续使用。如果出现严重的咬合问题,烤瓷牙就必须拆除重做了。
四、颞颌关节紊乱
因为烤瓷牙的咬合没有调整好,牙齿总在非正常的咬合状态下工作,时间久了,会造成颞颌关节紊乱,出现关节弹响、疼痛,张口受限等等症状。推荐阅读:烤瓷牙能戴多长时间
五、冷热刺激疼痛
大多是由于制备过程中牙医磨牙过快,对牙髓造成过大刺激,牙髓处于充血状态,或烤瓷牙做得不够密合烤瓷牙无法隔绝外界不良刺激引起的。想了解烤瓷牙更多更加详细的危害,点击在线咨询,与在线专家一对一交流!
中韩·唯美口腔推荐——3D美容冠
美容冠矫治技术不需要拔牙,无痛,只需要1小时,效果显着终身不反弹复发,所以美容冠从各方面就显得更胜一筹,综合各方面的考虑,美容冠的价格还是比较优惠的,也是广大求美者都消费得起的牙齿矫正方法。
美容冠与烤瓷牙区别:
1、牙齿的损伤角度:烤瓷牙会磨除较多牙体组织;美容冠仅对牙齿表面做特殊处理,尽量选择更小的生理伤害,对牙齿的损伤较小。
2、色泽:烤瓷牙大多采用传统的比色技术,牙齿颜色较容易失真、色调不一、过渡不自然、反白等假牙特征。
3、功能效果:烤瓷牙强调牙齿的治疗修复功能,传统比色技术,牙齿容易失真,排列也不考究;美容冠在强调保障牙齿功能同时,运用现代数码精密技术、VITA比色技术,矫正后更整齐、逼真、自然。
4、治疗功能:烤瓷牙技术特点决定了其容易出现牙龈红肿、牙龈发黑等现象;美容冠完全符合口腔医学和人体工程学,安全无副作用,终身有保障,不会出现牙龈红肿、牙龈发黑等现象。
5、操作医生:烤瓷牙由普通的牙科医生操作,更多依靠感官操作;美容冠由专业美容口腔主诊医生,运用数码定位技术。
由此可见,美容冠虽然具有传统牙齿美容方法无法比拟的优点,但是对于医院和医生的要求也很严格。美容冠究竟会有怎么样的效果,点击在线咨询,与专家一对一交流!
牙齿美容冠矫正医院哪家好?
1、中韩·唯美口腔医院个性化设计,为您定制独一无二:每个人的牙齿,其实也可以像艺术品一样,倾注设计理念,让成型后的牙齿独一无二。美容冠能结合求美者的脸型、肤色、职业等量身设计符合医疗美学标准的美牙方案,让您的牙齿绝无仅有。
2、中韩·唯美口腔医院引进设备,汇聚全球上乘技术:唯美德国3D美容冠技术,是将全新的3D数码定位系统、德国VITA比色技术、美国WIND无痛技术、全新科技的粘贴技术结合起来,让您不用出国门就能体验全球先进技术带来的美牙效果。
3、中韩·唯美口腔医院高效无痛,仅需一个小时:无论是使用美容冠矫正还是美白,都仅需一个小时,即可轻松拥有一口靓牙,全程无痛,高效快速,对您的正常生活和工作不会造成任何影响。
中韩·唯美牙齿美容专家推荐

程玲,口腔执业医师,精湛技术:牙齿美容、口腔内科、1小时德国西诺德CAD/CAM3D齿雕全瓷修复。毕业于河南医科大学,先后在华西口腔医学院及三级甲等医院口腔中心工作,积累了丰富的临床经验。在固定修复、美齿美白方面技艺精湛有着突出优势,曾参与中韩美容整形峰会,并于核心期刊发表论文多篇。该医师技术娴熟,操作规范轻柔,行医严谨,待人真诚,已成功完成近千例的牙齿美容修复,深得患者好评。
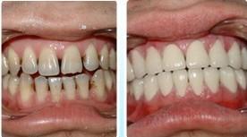
中韩·美容冠矫正牙齿案例
以上是详细介绍了烤瓷牙会不会伤害牙齿,烤瓷牙的效果决定于,医生的技术、责任心,有没有掌握活髓牙制备技术等等。爱美的您应该选择正规的专业医院。中韩·唯美口腔医院是集牙齿治疗,保健,美白,矫正于一体的齿科专业医院,精湛的医疗技术,先进的医疗设备以及贴心VIP室的服务与环境让您治牙美牙更加放心!
唯美口腔连锁·汇聚实力专家
唯美口腔连锁·品牌资讯