烤瓷牙的寿命是多少?烤瓷牙做为人们牙齿修复中的常用修复方法,很多人在做烤瓷牙修复时都会问烤瓷牙的寿命是多久?中韩·唯美口腔的专家介绍说:理论上只要自己的牙根没有问题烤瓷牙就不会出现太大问题,可是一些因素也会导致烤瓷牙的寿命降低。
影响烤瓷牙寿命的因素
1、医生的技术:更影响烤瓷牙的寿命因素
很多朋友经常忽视这一点,往往只关心自己做那种烤瓷牙、含不含镍,对医师的技术的考虑则比较少。其实医生的技术,永远是排在位的,技术高超的医生,才能制作出高品质的烤瓷牙。没有好的技术,再好的材料也出不了好的效果。
2、烤瓷牙所使用的材料
好的烤瓷牙材料有好的生物相容性。烤瓷牙内层和口腔的软硬组织密切接触,其性能的好坏,直接影响到口腔的生理健康。生物相容性好金属可以和口腔软硬组织“和平相处”,与人体协调、融洽,成为口腔环境的一部分。生物相容性差的金属会对周围组织产生不良刺激,出现过敏、腐蚀、金属离子渗出等现象,从而产生牙龈炎、牙周炎、龈缘黑线、口腔异味等。这些都会影响烤瓷牙的寿命。哪种烤瓷牙材料更适合你呢?点击在线咨询与专家直接交流了解详细情况!
3、设计是否合理
烤瓷牙如果设计不合理,就有可能因为受力过大出现假牙折裂、崩瓷、真牙松动等现象,从而影响到烤瓷牙的寿命。
4、使用过程中是否注重保养
在进行烤瓷牙牙齿修复后,牙齿修复患者的护理也十分重要,尤其是在初期,烤瓷牙还不是很稳定,不能够与硬物进行直接接触,同时注意保持口腔清洁,要定期清洁牙齿,这样烤瓷牙的寿命才会相对长久。
烤瓷牙的寿命有赖于医生的技术和烤瓷牙的材料之外,与我们在日常生活中对烤瓷牙的护理也有密切的关系,护理好就可以延长烤瓷牙的寿命。更多烤瓷牙的护理知识,点击在线咨询进行了解!
烤瓷牙的价格影响因素有哪些
决定烤瓷牙贵不贵的因素之一:医院的水平
想要拥有漂亮的牙齿,做好的牙齿美容,就要选择正规专业的口腔医院,由于正规医院无论是医疗设备还是治疗技术、卫生环境都比小诊所、小医院好很多,因此烤瓷牙价格肯定会比小医院小诊所贵一些,但是好的医院和医生可以保证我们的健康安全,而且烤瓷牙价格不是我们做牙齿美容要考虑的,更重要的是保证我们的人身安全和做烤瓷牙的显着效果。
决定烤瓷牙贵不贵的因素之二:自身口腔情况
烤瓷牙的价格除了由材料和医院决定,也取决于你口腔的条件。比如在做烤瓷牙手术之前,发现你牙床内多长一颗牙齿或者存在其他口腔问题,就会导致医生要多花费时间和技术为你安装烤瓷牙,这也是影响烤瓷牙价格的一个原因。你的口腔状况是怎样的呢?点击在线咨询了解详情!
决定烤瓷牙贵不贵的因素之三:烤瓷牙的材料
现在的美容材料越来越多,烤瓷牙也不例外。不同的材料花费不同,导致了烤瓷牙价格也会有所不同。烤瓷牙材料分很多种,常见的有镍铬合金、钛合金、贵金属、二氧化锆陶瓷等。其中由于镍铬合金更为便宜,用它们做材料的烤瓷牙价格也就相对较低,而钛合金较比镍铬合金要稍微昂贵一些。相对的,贵金属价格较高,贵金属烤瓷牙的价格也就偏高,更贵的是以二氧化锆陶瓷为材料的烤瓷牙。推荐阅读:用心呵护口腔健康
决定烤瓷牙贵不贵的因素之四:医生的技术
我们都知道同样的食物,不同厨师做出来的味道都不一样。对牙烤瓷牙也是,如果牙医技术不过关,会导致牙龈容易出现缝隙,牙龈容易发黑,减少烤瓷牙的使用寿命。点击在线咨询,了解烤瓷牙的优惠活动!
中韩·唯美口腔牙齿美容专家推荐

艾西川,副主任医师,精湛技术:颌面外科、牙齿美容、1小时德国西诺德CAD/CAM3D齿雕全瓷修复。毕业于中国口腔著名学府——西安第四军医大学,原南京军区口外知名专家,郑州市口腔医院院长。从事口腔全科临床工作三十余年,对口腔内外科有丰富的临床经验,拥有万例成功案例。曾获市级科研成果奖两项,省级三项,多部专著被列为医大教材,在国内外知名刊物上发表专业论文20余篇,多次应邀参加国内外口腔大型研讨会,于口腔治疗方面有独到的治疗方法,深受客人好评。
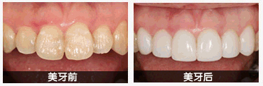
中韩·唯美口腔牙齿修复前后对比图

如果您觉得我们的文章没有解释的很清楚,或者还有其他疑问,您可以直接点击我们的在线咨询医生,中韩·唯美口腔专业咨询医生会给您耐心的,详细的解答,并给您一个满意的答复!
唯美口腔连锁·汇聚实力专家
唯美口腔连锁·品牌资讯