烤瓷牙是一种比较理想的修复体,不但拥有金属全冠的强度还有全瓷全冠的美观,而且适用范围广,颜色外观逼真、耐磨性强、材料性能稳定、咀嚼功能好,因此受到了广大爱牙人士的广泛好评,不过大家也十分关注烤瓷牙的费用,那么,烤瓷牙多少钱一颗?
烤瓷牙是目前比较常用的牙齿修复方法,镶烤瓷牙需要多少钱受很多因素影响,如烤瓷牙的材料、医院以及医生等因素,接下来,我们就来详细了解一下。
,烤瓷牙的材料影响着烤瓷牙的价格,烤瓷牙的材料有很多种类,好的烤瓷牙材料不仅制作的更加美观,以后使用寿命也会更长,所以价格肯定会高一些。
第二,选择的医院影响着烤瓷牙的价格,品牌医院不论设备、环境、医生技术等都比普通的医院要好,费用也会相对的要高一些,但是正规医院治疗效果更有保障。
第三,地域性的差价,经济发达的地方,消费水平也高,那治疗费用跟普通的地方价格肯定也不相同。
第四,患者自身的口腔情况,口腔是否健康、是否有其他的口腔疾病等都影响着烤瓷牙的治疗费用。想了解中韩·唯美口腔烤瓷牙具体价格,点击在线咨询,在线医生给那您一个满意的答复!
中韩·唯美口腔医院致力于现代牙科诊疗及时尚牙齿美容,为了让更多的人享受到高质量的口腔治疗服务,为倾力打造中国一流的专业牙科,郑州唯美口腔正不懈努力,并长期与韩国著名口腔美容机构合作。同时并倡导:病人至上、精益求精、恪守诚信、敬人敬业,真诚贴心的服务。推荐阅读:用心呵护口腔健康
怎么选择烤瓷牙的种类
一、贵金属合金烤瓷牙的主要成分是黄金与白金,颜色比同类产品更坚固,更具生物相容性,使用安全,对人体无害。这种烤瓷牙价格较贱金属烤瓷牙贵,但也是一般大众所能接受的价格,并不是高不可及的程度,对于求美者而言,这种烤瓷牙是比较理想的修复体。
二、非贵金属烤瓷牙,更早的烤瓷牙多用镍铬合金,相对比较经济,但是由于镍铬合金理化性质相对不是很稳定,镍元素缓慢释放,会致牙龈炎、牙龈出血、口腔异味、牙龈缘变黑等,所以目前多采用钛合金、贵金属、全瓷等材质的烤瓷牙。
三、全瓷牙是在外观和性能上更优越于金属烤瓷牙的品种,它们更大的区别在于内冠。全瓷的内冠是瓷,是一种透明的骨架。它的层次、色泽更接近真牙,对牙龈没有刺激,对光线的反射更接近天然牙。其绝佳的光学性质、极好的生物相容性、逼真的色泽,看上去要比金属烤瓷牙更自然、更美观、基本没有过敏。哪种烤瓷牙的种类适合你呢?点击在线咨,与专家直接对话了解详情!
中韩·唯美牙齿美容专家推荐
艾西川,副主任医师,精湛技术:颌面外科、牙齿美容、1小时德国西诺德CAD/CAM3D齿雕全瓷修复。毕业于中国口腔著名学府——西安第四军医大学,原南京军区口外知名专家,郑州市口腔医院院长。从事口腔全科临床工作三十余年,对口腔内外科有丰富的临床经验,拥有万例成功案例。曾获市级科研成果奖两项,省级三项,多部专著被列为医大教材,在国内外知名刊物上发表专业论文20余篇,多次应邀参加国内外口腔大型研讨会,于口腔治疗方面有独到的治疗方法,深受客人好评。点击在线咨询,了解烤瓷牙的优惠信息!
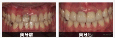
中韩·唯美口腔牙齿修复前后对比图

温馨提示:为了更好方便于广大朋友,我院诊疗中心推出网络挂号预约系统,在网站上挂号成功后可减免专家挂号费,并有优惠。预约时间就诊更方便快捷,省去看专家要排队的烦恼。
上一篇:牙齿贴面与烤瓷牙的区别有哪些?
下一篇:烤瓷牙术后需要注意哪些问题
唯美口腔连锁·汇聚实力专家
唯美口腔连锁·品牌资讯