郑州种植牙有哪些种类,种植牙是目前牙齿缺失修复更理想的方法,其效果好,受到很多牙齿缺失者欢迎的修复方法之一,其超长的使用寿命,强大的咀嚼功能以及不伤原牙、自然美观等优点受到口腔医院的青睐。随着种植牙技术的发展,种植牙的种类也层出不清,那么,郑州种植牙有哪些种类?为此,让我们来进行详细的了解。
郑州唯美口腔的专家介绍,目前在郑州的市场上种植牙的种类有很多,主要以进口的为主。从种植牙材料来讲,进口种植牙技术更成熟些,在国外使用多年,效果得到验证。进口种植体价格也稍高些。那么哪种种植牙好?郑州种植牙哪家医院好?专家表示,种植牙好不好并不是凭价格说的,每个人的口腔环境不同,适应的种植牙不同,这也就是说,种植牙并不是越贵越好,只有适合自己的才是更好的。

郑州种植牙种类众多,以下种植系统深受缺牙顾客好评:
1、韩国奥齿泰种植系统:奥齿泰种植系统种植牙只是一种牙科临床上的小手术,依据许多实施过的人的经验,认为其实就和拔牙的感觉差不多,只不过拔牙是少了牙齿,而植牙则是弥补少掉的牙齿。
2、韩国登腾种植系统:韩国登腾系统开创的“美学治疗”理念具有设计简洁,甄求完美的特点,能根据个人的具体口腔情况,展开个性化设计,修复后的种植牙能与口腔完美的融合,坚固耐用的同时更兼顾美学效果。
4、瑞典诺贝尔种植系统:世界上更早的种植系统,采用激光定位,使整个治疗过程基本不出血,并在计算机的引导下,更加精确的植入牙齿,不需要任何愈合时间,更快仅需一小时,就能恢复正常的咀嚼,完全不影响生活与工作,受全球牙医和顾客的推崇。
5、韩国DIO种植系统:DIO种植体在全世界运用已超过28年,其良好的生物相容性和稳定性受到全世界广泛认可。手术时不需要连接器,直接与种植体连接的No-mount系统可以准确的确认植入方向,而且不会受到邻牙的影响,缩短了手术时间,大大提高了手术效率。
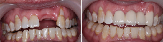
郑州唯美口腔种植牙 为您的口腔健康保驾护航
郑州唯美口腔高端齿科服务行业领先品牌,率先采用即刻种植、微创种植技术,对于单颗牙缺失、部分牙缺失和全口牙缺失的朋友,都可以轻松实现美观漂亮、自然逼真的坚固牙齿。推荐阅读:种植牙齿的大概使用年限
郑州唯美口腔舒适的环境,先进的设备,精湛的技术,热情专业的服务,会所式的管理,全心全意为您提供高品质的专业口腔医疗服务,让尊贵的您拥有健康幸福的人生。
郑州种植牙有哪些种类?通过以上的介绍,想必大家也有所了解了。郑州更好的牙科医院郑州唯美口腔专家介绍,如果您觉得我们的文章没有解释的很清楚,或者还有其他疑问,您可以直接点击我们的在线咨询医生,我院专业咨询医生会给您耐心的,详细的解答,并给您一个满意的答复!
上一篇:后牙种植会不会很容易掉
下一篇:让你笑就露齿的“魔法”:种植牙
唯美口腔连锁·汇聚实力专家
唯美口腔连锁·品牌资讯