为什么种植牙价格有所不同?好牙相伴,完美一生。牙齿缺失必然会给我们的生活带来无尽的烦忧,而目前牙齿缺失修复更好的方法是种植牙,种植牙修复牙齿缺失取得的效果也受到了很多朋友的推崇。那么为什么种植牙价格有所不同呢?
为什么种植牙价格有所不同?主要受以下因素影响:
1、种植牙品牌
目前种植牙有四大种植系统,分别为诺贝尔种植牙、韩国亲骨超导种植系统、奥齿泰种植系统和ITI种植系统,每个品牌的优点和特点都不同的。品牌不同,种植牙的价格也就不同了。
2、医师技术和医院等级
专家介绍说:好的医师,过硬的技术,等级高的医院,收费标准也就不一样的,种植牙的价格也会不一样了。
3、材料和工艺
种植牙的价格取决于材料,好的材料和制造工艺,制作出来的种植牙性能也好,寿命长久,佩戴也舒适。而且材料分为为进口的和国产的,进口的种植体价格一般比国产种植牙的贵一到两倍,价格自然也就不同了。
4、种植体类型
种植牙类型和种植牙上方修复体的类型不同,也会导致种植牙的价格有所差异的。推荐阅读:亲骨超导种植技术
牙齿种植技术推荐——亲骨超导种植技术
中韩·唯美口腔独家引进的亲骨超导即刻种植是采用普兰梅卡口腔全景机进行3D口腔CT成像,根据自身牙体骨骼或以自身骨组织系数来定制骨粉,比起传统的人造骨粉,更加精确无误,而且生物相容性更好、更稳定牢固、愈合更迅速。由于3D口腔CT成像的直接应用,使亲骨种植技术大大的提高了,并象征着口腔种植领域的发展,迈出了革命性的一步。点击在线咨询,了解种植牙的优惠信息!在线预约可享更多优惠!
中韩·唯美口腔牙齿种植专家推荐

郑淳奎,口腔颌面外科硕士、口腔修复医学博士。精堪技术:种植牙修复。毕业于韩国首尔大学牙医学院,1995年赴瑞典皇家学院口腔医学院、美国华盛顿大学口腔医学院求学,先后获得了口腔颌面外科硕士、牙周病学硕士、口腔修复医学博士等学位。回国后将韩国整形医学与德国CEREC 3D数字齿雕系统结合,革新了口腔美容设计的传统治疗方法,获韩国齿周科学会新人学术奖及保健福利部长官奖。2000年又赴德国深造普士即刻种植牙技术,并成为位为德国人实施种植手术的亚洲专家。对各种种植修复技术有很深的造诣,先后在日本齿周科学会、日本齿科学会发表论文,获大韩齿周科学会新人学术奖,获韩国保健福利部长官奖,在韩国牙科界享有很高的美誉。
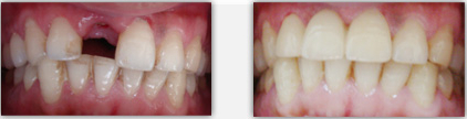
中韩·唯美口腔牙齿种植前后对比图

温馨提示:如果你在阅读文章时碰到不清楚的地方,可以通过在线咨询,咨询中韩·唯美口腔的专家;如果你需要看病又不想排队挂号,也可以通过这里提前预约,我们将免费为你安排。
上一篇:郑州哪里做种植牙收费便宜
下一篇:怎么做好种植牙的护理措施
唯美口腔连锁·汇聚实力专家
唯美口腔连锁·品牌资讯