郑州种一颗牙齿要多少钱?牙齿缺失后不得不面对的就是牙齿缺失所产生的一系列危害的发生,面对美味,由于牙齿缺失而无福消受,每天的口腔清洁也成为麻烦之事。目前,修复牙齿缺失更好的方法是种植牙,那么郑州种一颗牙齿要多少钱呢?
种植牙价格的影响因素
1、种植牙品牌:品牌是影响种植牙价格的因素,也是影响种植牙价格的更主要的因素,患者朋友选择的品牌不同,他们的价格就有明显的差异,这点是毋庸置疑的。
2、种类不一样:种类也是影响价格的更主要的因素,我们平时见过的种类多种多样,选择的牙冠种类不同,价格各异。哪种种植牙的种类是适合你呢?点击在线咨询与专家进行一对一的对话!

3、种植牙的设备:种植牙过程中除了材料之外还需要X线检查,临床治疗、技工设备等等成本也是相当高的,致使种植牙价格一直过高的另一个原因。
4、口腔医生:对于同一个地方,同一家医院来说,医生也是决定一个因素,医生的技术水准,也是可以决定价格的,有的医生技术好的,它们的价格就不同,医生技术稍微差的,他们的价格也就有所不同,医生的技术主要就是经验和知识的领先,这样价格就不同了。
5、种植牙术后护理:护理有的时候也被考虑的一个范畴,针对有的护理是免费的,但是,针对额外的护理就是不免费的了,不同的服务就有不同的价格,有的服务价格很便宜,比如定期拍牙片,有的服务就比较贵一点,比如洗牙等,这些在有的时候也是一种影响的因素。更多详细的护理知识,点击在线咨询与专家进行直接对话!

做种植牙手术要多久
首先,进行术前检查和术前处理,如拔掉特别松的牙齿、残根,充填齿,治疗牙周病去除不良假牙,调改和纠正不良咬合关系等。所需时间视各人治疗情况不同而异。
其次,种植手术阶段:当您的医生根据术前设计方案,通过手术将种植体植入骨内,术后反应较小。植入一枚种植体的时间约为10-30分钟。
更后,术后四至六个月,更换或安装恒久牙冠或义齿。恒久牙冠为烤瓷材料制作。其质地优良、色泽逼真,舒适美观,恢复功能满意,经久耐用。
中韩·唯美口腔独家引进的“亲骨”种植技术是采用普兰梅卡口腔全景机进行3D口腔CT成像,根据自身牙体骨骼或以自身骨组织系数来定制骨粉,比起传统的人造骨粉,更加精确无误,而且生物相容性更好、更稳定牢固、愈合更迅速。由于3D口腔CT成像的直接应用,使“亲骨”种植技术大大的提高了,并象征着口腔种植领域的发展,迈出了革命性的一步。中韩·唯美口腔的管理严格遵循化医院管理服务标准,引进先进消毒管理体系,完全杜绝交叉感染,保证治疗质量。其手术室是中原标准口腔手术室营运基地,全程无菌可视化操作。采用数码诊疗操作流程及管理系统,与更先进的口腔医疗体系紧密接轨使口腔诊疗技术创伤更小、痛苦更小、时间更短、效果更好,是你牙齿种植的理想之地。推荐阅读:亲骨超导种植技术

中韩·唯美口腔牙齿种植专家推荐

徐雅轩,唯美口腔主诊医师,口腔种植美容修复专家。毕业于南京医科大学口腔专业,长期从事口腔种植临床工作,在部队三甲医院工作多年,拥有多年深厚的口腔种植与研究经验。曾应邀参加瑞士ITI种植培训、德国西诺德3D齿雕培训,并出任多国种植集团特邀医师。其娴熟的种植技术和丰富的临床经验有机结合,注重从顾客的角度为出发点制定治疗方案,行医严谨,待人真诚,让广大缺牙顾客重新拥有完美的牙齿,深得顾客好评。
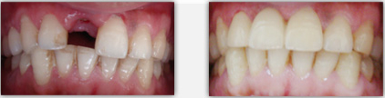
中韩·唯美口腔牙齿种植前后对比图

如果您觉得我们的文章没有解释的很清楚,或者还有其他疑问,您可以直接点击中韩·唯美口腔的在线咨询医生,我院专业咨询医生会给您耐心的,详细的解答,并给您一个满意的答复!
上一篇:后牙种植后应该注意什么
下一篇:单颗种植牙的价格是多少
唯美口腔连锁·汇聚实力专家
唯美口腔连锁·品牌资讯