郑州单颗种植

只缺了一颗能做种植牙吗

来源:郑州唯美口腔
赞: | 好评: | 阅读:
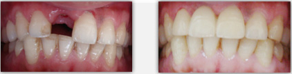
  只缺了一颗能做种植牙吗,郑州的小王咨询:我的奶奶今年快60岁了,平时身体挺好的,可就是缺了一颗牙,自从牙齿缺失后,生活都受到了影响。听说种植牙不错,但并不了解。为此,想咨询一下,只缺了一颗能做种植牙吗?为此,通过以下我们来进行详细的了解。
只缺了一颗能做种植牙吗
 
  郑州唯美口腔专家介绍,牙齿的缺失给人们的生活带来了很多的苦恼,缺牙了不仅关系到人们的口腔咀嚼功能还关系到牙齿外在的美观。可是很多的朋友会认为缺了一颗牙没有必要去做镶牙修复,缺了一颗牙根本就不会影响到我们咀嚼食物。那么真的是这样的吗?
 
  牙齿每天都扮演着很重要的角色,咀嚼、发音、支撑面颊……牙齿缺失会引发一连串的连锁反应。如果是缺失了一颗牙比如说前牙少了一颗后说话就会漏风,影响社交。而如果缺了一颗后牙那么当时可能没有啥危害,可是时间长了就会出现很多的危害,比如说会破坏整个牙弓的完整性,使邻牙移动、伸长、倾斜,导致食物嵌塞、口臭磨牙的缺失会使咀嚼功能下降,加重人体肠胃负担。
 
  牙齿缺失去修复更佳方式--种植牙
 
  牙齿的缺失给人们带来了很多的苦恼,因此这个时候做镶牙修复是非常有必要的,目前的种植牙技术是已经是非常成熟的技术了(一颗种植牙价钱),但是对种植牙医院的选择还是应该谨慎。
 
  虽然目前各个城市的口腔医院有很多,可是由于每个人对于医院的环境,医疗条件,技术的要求都不一样,所以这就造成了在选择医院方面一直困扰着人们。对于对看牙有着极高要求的人们来讲,人们除了看重医院的规模,技术,设备等,还更加看重的是医院的环境,服务等。推荐阅读:郑州做种植牙一颗需要多少钱
 
  能够做种植牙的口腔医院必须配合一流的设施配置,领先的技术,经验丰富的医生,合理定价格,这样人们在这样的医院做种植牙才会放心。
 
  只缺了一颗能做种植牙吗?通过以上的介绍,想必大家也有了一定的了解。郑州牙科医院郑州唯美口腔是一家专业的牙科医院,拥有先进的技术和经验丰富的口腔专家,可确保牙齿种植的安全性和有效性。如果对种植牙还有什么不明白的地方,可在线咨询我们的口腔专家,为您提供详细的介绍。
温馨提示:口腔健康问题,不要查看不专业的网站,不要问不专业的医生。

上一篇:牙种植多少钱一颗

下一篇:植牙多少钱一颗

唯美口腔连锁·汇聚实力专家
唯美口腔连锁·品牌资讯
  • 一城七院
  • 高端设备
  • 荣誉资质
  • 机构环境