郑州单颗种植

郑州做种植牙一颗需要多少钱

来源:郑州唯美口腔
赞: | 好评: | 阅读:
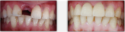
  郑州做种植牙一颗需要多少钱,牙齿缺失就目前而言,更理想的修复方法是种植牙,种植牙可以有效的修复您的牙齿健康,让您拥有完整的牙齿。大家在了解种植牙优势的同时,更想了解的就是种植牙的价格。那么,郑州做种植牙一颗需要多少钱?下面让我们一起来进行详细的了解。
 
郑州做种植牙一颗需要多少钱
 
  郑州做种植牙一颗需要多少钱
 
  郑州唯美口腔专家介绍,做种植牙一颗需要多少钱与每个人的具体情况有关做牙齿种植,医生会根据患者牙齿的具体情况选择适合的种植体,种植以后还需要安装烤瓷牙,不同的烤瓷牙种类,价格也是不一样的,患者可以根据每个人的牙齿情况以及经济条件综合考虑来选择。选择不同的种植方法,种植牙齿的效果是不一样的,这也是影响做一颗种植牙齿需要多少钱的重要原因之一。一般来说种植牙价格在几千到几万不等。
 
  其次,郑州种植牙价格与医生的技术有关不同资质的医生操作,对种植一颗牙的价格也存在较大的影响,种植牙需要操作人员具有非常熟练的技术,以及对相关知识的全面理解,才能更好的完成,因此患者一定要找经验丰富的医师操作。做一颗种植牙齿需要多少钱与地区有关,不同的地区经济发展水平不同,消费水平不同,做一颗种植牙齿需要多少钱自然也不一样的。
 
  此外,与种植牙的材料、种植牙品牌、以及种植牙医院有关,而且种植牙手术对患者的自身情况要求非常高,选择的材料也很讲究,一般要求对人体不存在危害性,种植牙的价格会根据材料、品牌和医院不同而不同,所以大家在选择医院和医生时一定要慎重,只有选择对了,您才不会花冤枉钱,享受物超所值的种植牙。
 
  瑞典NOBEL种植牙系统--种植牙领域上乘品牌
 
  郑州唯美口腔引进的瑞典NOBEL种植牙技术,是种植牙领域内的上乘品牌其治疗效果更优 于传统种植技术,瑞典“诺贝尔”种植牙系(NobelGuide)是基于计算机引导下的自动设计和激光定位,使得种牙过程由原来的手工操作转化为自动化处理,变得相当精确快捷。用这种方法种牙,不仅患者的义齿质量有保证,而且等待的时间可由原来的7天减少到不足1个小时。推荐阅读:种植一颗牙能使用多久
 
  郑州做种植牙一颗需要多少钱?通过以上的介绍,想必大家也有了一定的了解。郑州牙科医院郑州唯美口腔是一家专业的种植牙医院,拥有多种品牌种植牙技术和经验丰富的种植牙专家,可确保牙齿种植的效果,让牙齿缺失的患者早日拥有美好的生活。如果对种植牙还有什么不明白的地方,可在线咨询我们的口腔专家,将为您提供详细的解答。
温馨提示:口腔健康问题,不要查看不专业的网站,不要问不专业的医生。

上一篇:种植牙与镶牙有什么区别

下一篇:种牙一颗多少钱

唯美口腔连锁·汇聚实力专家
唯美口腔连锁·品牌资讯
  • 一城七院
  • 高端设备
  • 荣誉资质
  • 机构环境