郑州单颗种植

人工种植牙齿多少钱一颗

来源:郑州唯美口腔
赞: | 好评: | 阅读:
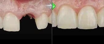
  人工种植牙齿多少钱一颗,牙齿缺失无论是对我们的口腔健康还是外貌都有一定的影响,所以及时的进行修复是关键。种植牙技术已经非常成熟且受到广大患者的青睐,它解决掉了患者对于磨牙的顾忌。但对于其价格大家也非常关注,人工种植牙齿多少钱一颗?为此,通过以下我们来进行详细的了解。
 
人工种植牙齿多少钱一颗
 
  郑州种植牙价格郑州唯美口腔专家介绍,人工种植牙齿多少钱一颗相关的因素很多,所以对于种一颗牙齿多少钱其实没有确切的数字,主要有以下几个方面:
 
  1、种植牙品牌:品牌是影响种植牙价格的因素,也是影响种植牙价格的更主要的因素,我们平时见过的种植牙的品牌可以有多种多样,比如,瑞典NOBEL种植系统、韩国DIO,他们的价格就有明显的差异,这点是毋庸置疑的。
 
  2、种植牙种类:种类是影响烤瓷牙冠价格的因素,也是影响种植牙的更主要的因素,我们平时见过的烤瓷牙的种类可以有多种多样,比如,根据固定方式就有固定的,以及移动的两种,可以分为金属的,和非金属的,烤瓷牙冠种类不同,价格各异。
 
  3、医疗人才要求高:种植牙是由经过特殊培训的种植外科医生、种植修复医生、种植技师及相应的助手组成的团队来共同完成的,需要的人员成本比较大,这也在一定程度上影响了种植牙价格。
 
  郑州唯美口腔人工种植牙优势:
 
  一、固位好:种植牙比传统假牙戴的稳固、牢靠。
 
  二、咀嚼效率好:种植牙的咀嚼效率较传统假牙有大幅度提高,酷似真牙。推荐阅读:种植一颗牙需要多长时间
 
  三、美观度好:种植牙因假牙基托小,全固定式种植体甚至无基托,所以美观舒适,无异物感,对发音影响小。
 
  人工种植牙齿多少钱一颗?通过以上的介绍,想必大家对种植牙价格也有了一定的了解。郑州牙科医院郑州唯美口腔的专家介绍,种植牙对医生和技术的要求非常高,因此,选择专业的种植牙是关键所在。如果对种植牙还有什么不明白的地方,可在线咨询我们的口腔专家,将为您提供详细的介绍。
温馨提示:口腔健康问题,不要查看不专业的网站,不要问不专业的医生。

上一篇:拔牙后可以做种植牙吗

下一篇:郑州装一颗牙需要多少钱

唯美口腔连锁·汇聚实力专家
唯美口腔连锁·品牌资讯
  • 一城七院
  • 高端设备
  • 荣誉资质
  • 机构环境