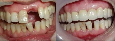
单颗种植牙哪家医院好,随着医学的发展,为越来越多的牙齿缺失患者带来了福音。以前牙齿缺失后,我们要忍受漫长的等待种植过程,一般需要1-3个月。而现在我们运用微创即刻种植技术,以前牙齿缺失后,我们要忍受漫长的等待种植过程,一般需要1-3个月。

种植牙通常分为两步骤:
步骤:先植入人工牙根。
第二步骤:再于牙根上固定种植牙体。
步骤后到拆线前不要戴临时的假牙,根据情况决定是否要带。通常要一个星期后才可以戴。
单颗种植牙后,应该怎样护理呢?
1、拆线后的四五个月里,尽量勿咬硬物,切忌用种植牙咬核桃之类的高硬度物体。
2、注意口腔清洁护理,勤刷牙,防止口腔感染带来伤害。
3、遵医嘱定期到医院进行相关检查,如有不适,应立即回去检查。
唯美口腔种植牙采用更新的即刻种植技术,使这些问题得到良好的解决。该技术可以30分钟"种"出一口美牙。并且具有拔了即种、种了即用、精确微创、快到无痛、全息可视的神奇效果。
四大优势,无可比拟
微创即刻种植技术一经推出,即受到广大中老年患者的青睐追捧。有别于以往传统种植牙的弊端,微创即刻种植牙更具临床优势,成活率更高可达95%以上,其核心大致可总结为“快、准、精、微’四个字。”
1、快:即拔即种、5-10分钟、一次成型
2、准:精确定位、精确植入、无缝对接
3、精:细节精微、环节精细、技巧精湛
4、微:微小切口、微创无痛、快速愈合
单颗种植牙哪家医院好,唯美口腔提醒:想要做种植牙的患者朋友一定要到专业正规的医院找经验丰富的医生,从而保证种植牙的,同时也减少了并发症发生的可能。如还有疑问请您点击在线咨询即可向专家进行一对一交流。为了方便大家就诊我们医院开通了网上预约和网络咨询,同时通过网络预约专家,即可享受免费挂号费,到院就诊无需排队。
上一篇:老人种植牙需要注意什么
下一篇:拔牙后可以做种植牙吗
唯美口腔连锁·汇聚实力专家
唯美口腔连锁·品牌资讯