郑州单颗种植

为什么种植牙比假牙贵

来源:郑州唯美口腔
赞: | 好评: | 阅读:
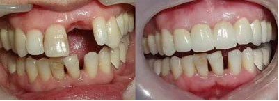
  为什么种植牙比假牙贵,种植牙和镶牙都是牙齿缺失的修复方法,同样是牙齿修复方法,但是大家会觉得两者价格差距很多,因此,不少人为了价格便宜,就选择价格便宜的镶牙,结果修复效果并不理想。那么,为什么种植牙比假牙贵?为此,通过以下我们来进行详细的了解。
 
为什么种植牙比假牙贵
 
  郑州唯美口腔专家介绍,种植牙和假牙是两种完全不同的东西,二者的牙支持方式不同,种植牙是种植体置入到颌骨内,咬合力通过牙齿到种植体直接传递到颌骨(一颗种植牙价钱),而其他的修复方法是由邻牙或粘膜作为支持,力量由假牙传达到基牙或粘膜再传向颌骨,由此引出了其功能、性质上的巨大差别。
 
  【种植牙为什么价格比较贵】
 
  种植牙材料选取:都说种植牙价格由于其材料本钱过高而无法降低,是否有可能找到更低廉却不失原来好工效作用的种植牙材料来操控种植牙的价格。
 
  种植牙设备选用:种植牙设备也是种植牙的价格居高不下首恶,那么设备的本钱降低也许是更直截降低种植牙的价格的关键了,如何能降低这样的本钱就要靠相关人士的帮助了。
 
  种植牙的人力资源:相关于此,经过本钱降低来使得种植牙的价格降低的可能性更大些,毕竟种植牙技术已经应用了很多年,等人力资源本钱收回,那这块的价格标准也会随之降低,从而达到种植牙的价格的回落。推荐阅读:郑州哪家医院种植牙更好
 
  为什么种植牙比假牙贵?通过以上的介绍,想必大家也有了一定了解。郑州唯美口腔拥有先进的诊疗设备,科学有效的治疗技术,独特创新的诊疗方案,知名知名专家。开设专家在线咨询答疑服务,点击与知名专家在线交流。
温馨提示:口腔健康问题,不要查看不专业的网站,不要问不专业的医生。

上一篇:做种植牙需要拔掉牙根吗

下一篇:安一颗假牙多少钱

唯美口腔连锁·汇聚实力专家
唯美口腔连锁·品牌资讯
  • 一城七院
  • 高端设备
  • 荣誉资质
  • 机构环境