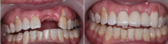
郑州哪家医院种植牙更好,门牙出现缺失的情况,对我们的影响是非常大的,不仅说话有漏风的现象,而且还影响咀嚼功能,严重时还会影响食欲和肠胃。因此,出现牙齿缺失的情况,一定要高度重视起来,尽快选择专业的口腔医院进行检查和修复。种植牙是目前牙齿缺失更理想的修复方法。那么,郑州哪家医院种植牙更好。

牙齿缺失种植牙弥补你的遗憾!
当人们由于种种原因不幸缺失了牙齿的时候,我们已越来越迫切的希望恢复原样,因为它给我们的咀嚼、发音、容貌甚至心理都带来了一系列的问题。但是我们自己是不会再长出新牙来的,即使是求助医生也是一样。不过现代医学的发展使得我们有机会获得一种接近天然牙的修复方法,那就是——种植义齿。
什么是种植牙?
种植义齿也俗称种植牙,但千万不要顾名思义,以为就是种上牙种子(牙胚)就长出牙来了,虽然这是所有医生和患者的梦想,但遗憾的是现代医学还做不到。现在说的种植牙是将人工材料制成的形似牙根的种植体经手术植入到人体的颌骨内或骨膜下,愈合后支持假牙的一种方法。种植义齿通常是有两部分组成的,一部分是我们肉眼看不见的位于颌骨内的种植体;另一部分是我们看得到的与种植体相连串并暴露出牙龈的假牙部分。
瑞士ITI种植牙系统,安全种植的保障
种植牙优点决定门牙缺失较好选用种植牙来进行牙齿修复,目前郑州唯美口腔引进的瑞士ITI种植牙系统做为一种革命性的治疗计划和手术实施系统,由于可以先进行口外计划,效果可以预知,之后才在口腔内实施,而且极为精确、方便、快捷!对于单齿缺失、部分齿缺失和全齿缺失的患者,可以实现美观漂亮、自然逼真,保证咀嚼功能的持久效果,并有利于保持口腔清洁卫生,有利于骨骼的整体保护,即刻实现广大患者“拥有一副美丽的牙齿”的梦想。推荐阅读:郑州市哪家口腔医院好
郑州哪家医院种植牙更好?通过意思的介绍,相比大家也有了一定的了解了。郑州唯美口腔专家介绍种植牙优点主要就是功能强,能很好地恢复牙齿功能,咀嚼功能大大优于其它传统假牙,有些不能用活动假牙和固定假牙镶牙的患者就得通过种植牙的方法才能解决。如果对种植牙还有不明白的地方,可在线咨询我们的口腔专家。
上一篇:郑州哪个口腔医院做种植牙比较好
下一篇:郑州单颗种植牙哪家医院好
唯美口腔连锁·汇聚实力专家
唯美口腔连锁·品牌资讯