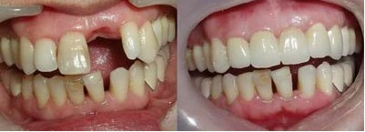
单颗牙缺失怎么治疗,牙齿缺失及时的修复是关键,但是在日常生活中,许多人对缺失一颗牙齿并不在乎,感觉对自己也没有太大的影响,想着反正还有二十多颗牙齿呢,少一个也没有什么。那么,事实真的如此吗?其实不然,牙齿长期缺失,其危害是非常大的,一定要引起大家的重视。那么,单颗牙缺失怎么治疗?通过以下我们来进行详细的了解。
郑州唯美口腔的专家介绍,很对人认为,对于单科牙齿的缺失没有什么大不了的,其实不然,如长期没有修复,对颌牙齿会因为无咬牙合接触而伸长;两侧牙齿会移位向缺失处倾斜,引起食物嵌塞,不易清洁,引起蛀牙及牙周病的发生。那么,如何解决单颗牙缺失呢?

1、活动义齿:即利用卡环(金属钩)挂在邻牙牙面上,缺失部分用树脂牙修复。优点是牙齿磨除少,患者可取下清洁。但咀嚼功能恢复较差、美观性差,初戴时会有一定的异物感。活动义齿不受年龄限制,一般在牙齿拔除后1~2个月可以修复。
2、固定义齿:利用缺牙两侧的牙齿作为基牙,通过牙体预备用烤瓷冠或金属冠修复。假牙不能自由摘戴,假牙与自然牙(真牙)大小和外形及光彩相似,戴用舒适美观且咀嚼功能恢复好。由于要磨除部分牙体,目前仍有部分患者不愿接受。固定修复需18周岁以上,一般在牙齿拔除后3个月修复。
3、种植义齿:在缺牙区植进种植体(即人工牙根),待种植体与骨组织完全愈合后再修复。此种方法不需要磨牙,对两侧牙齿无损伤,适用于大多数健康的成年人,一般不主张未成年人做种植义齿。与上述两种修复方法比较,用度较高。一般上颌牙齿拔除后5~6个月,下颌牙齿拔除后3~4个月可做种植修复。推荐阅读:单颗牙齿种植需要花费多久时间
单颗牙缺失怎么治疗?通过以上的介绍,想必大家也有所了解了。郑州更好的牙科医院郑州唯美口腔专家提醒:牙齿缺失修复一定要选择专业的牙科医院,这样才能确保修复的效果,早日恢复亮丽牙齿。如果您想了解更多关于您自身牙齿的详细情况,可以点击咨询按钮咨询在线医生或者直接拨打电话进行免费预约,我们将优先安排您就诊。
上一篇:影响种植牙价格的几种常见因素
下一篇:做种植牙手术需要了解的知识
唯美口腔连锁·汇聚实力专家
唯美口腔连锁·品牌资讯