做一颗种植牙需要多少?岁月无情催人老,人到年老之时不得不遇到的牙齿情况就是牙齿的缺失。牙齿缺失将会给老人的生活带来诸多不便。种植牙是修复牙齿缺失的常用方法,那么做一颗种植牙需要多少钱呢?
中韩·唯美口腔专家介绍,人工种植牙需要医生将种植体植入牙床内,以代替缺失牙。植牙齿要求颇高,收费根据地域,医院级别,人群消费,诊所大小等价格收费会有所区别。种植牙对手术要求较高,存在一定的风险,需要医院的消毒设施精良,术中易感染。所以专家建议选择规范医院就诊,不可贪图便宜。
人工种植牙的诸多优越性导致了种植牙的价格要贵些,具体原因有以下三个方面:
1、种植牙的材料限制严格:种植体的加工工艺复杂,要求极其精确。目前,世界上较着名的种植系统,种植体及配件多种多样,可满足不同的修复设计,但是它们的成本费也较高。
2、临床应用中需高技术的医疗基础环境如:X线检查设备,临床治疗设备、技工设备以及义齿在制作过程中需要的一些独特的较贵重的修复材料。
3、种植牙是由经过特殊种植培训的种植医生及种植技师合作完成的:人力投入较大,医生的技术成本也很高。
由于选用的是与人体相容性极好的生物材料,种植牙对人体不产生任何不良的副作用。人工种植牙每颗的价格不等,主要还是根据所选择的材料来决定。人工种植牙约3~6个月后种植牙体将与颌骨完全融合。医生将在种植体上安装基台,整个基本的步骤便告完成。部分医生会选择在植入牙体的同时连基台一起装上。更后,医生在基台上安装美牙冠,种植牙手术就全部完成了。推荐阅读:亲骨超导种植技术
中韩·唯美口腔独家引进的亲骨超导即刻种植是采用普兰梅卡口腔全景机进行3D口腔CT成像,根据自身牙体骨骼或以自身骨组织系数来定制骨粉,比起传统的人造骨粉,更加精确无误,而且生物相容性更好、更稳定牢固、愈合更迅速。由于3D口腔CT成像的直接应用,使亲骨种植技术大大的提高了,并象征着口腔种植领域的发展,迈出了革命性的一步。牙齿种植过程中安全、快速、精确、真正微创,同时可以保留更大数量的软组织和骨骼,有效避免了以后的牙槽骨重吸收造成种植体受力减轻,能促进牙龈健康,尤其适用于那些希望获得更佳外观效果的种植牙患者。
中韩·唯美口腔牙齿种植专家推荐
徐雅轩,国内著名CAM/CAD修复专家,精湛技术:牙齿矫正、牙齿美容修复、1小时德国西诺德CAD/CAM3D齿雕全瓷修复。毕业于南京医科大学口腔专业,长期从事口腔种植临床工作,在部队三甲医院工作多年,拥有多年深厚的口腔种植与研究经验。曾应邀参加瑞士ITI种植培训、德国西诺德3D齿雕培训,并出任多国种植集团特邀医师。其娴熟的种植技术和丰富的临床经验有机结合,注重从顾客的角度为出发点制定治疗方案,行医严谨,待人真诚,让广大缺牙顾客重新拥有完美的牙齿,深得顾客好评。
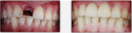
中韩·唯美口腔牙齿种植前后对比图

如果您对还有其他疑问,可直接向我们的在线专家免费咨询!点击在线咨询。中韩·唯美口腔一直以“品质生活、从齿开始”为宗旨,为郑州民众的口内、口外、修复、美容、牙种植等牙健康需求提供专业技术和国内外牙医专属服务尊享体验。维持牙齿健康,从唯美开始。
上一篇:牙齿修补使用时间有多长
下一篇:做种植牙一颗多少钱
唯美口腔连锁·汇聚实力专家
唯美口腔连锁·品牌资讯