郑州人工种植牙多少钱?人工种植牙修复牙齿缺失的疗效,让众多牙齿缺失朋友看到了修复牙齿缺失的希望。在关注人工种植牙修复牙齿缺失的同时,种植牙的价格也是备受关注的。那么郑州人工种植牙多少钱呢?
中韩·唯美口腔专家介绍:人工种植牙的效果让很多人满意,它大大优于其它假牙,具有很强固位和稳定性,像真牙一样扎在患者的口腔里,可少磨或不磨自己的真牙同时不需要活动牙必备的基托和卡环,没有大面积的基托导致的味觉迟钝与不舒适感。
1、与种植牙品牌有关:种植牙的品牌有很多种,但是唯美口腔引进的是即刻种植系统,不仅美观,而且使即拔即种,节省了很多时间。
2、与种植牙材料有关:随着种植牙齿技术的成熟,种植牙的材料也越来越多,有金属类、陶瓷类、复合材料等。顾客可根据自己的牙齿情况和经济条件选择更适合自己的,材料不同,种植牙需要多少钱也就不同。
3、选择的医院和医生:种植牙对医生的要求很高,不同的医院以及不同的医生当然价格不一样,北京圣贝拥有经验丰富的外籍专家,让您轻松的种牙。
中韩·唯美口腔根据顾客口腔及经济状况的不同提供了低、中、高档多层次价格区间,满足不同人群所需,既有适合低消费人群要求的价格区间,也满足高消费群体要求的价格区间,适合您的才是更好的,相信在唯美口腔总有一款适合您。推荐阅读:亲骨超导种植技术
牙齿种植技术推荐——亲骨超导种植技术
中韩·唯美口腔独家引进的亲骨超导即刻种植是采用普兰梅卡口腔全景机进行3D口腔CT成像,根据自身牙体骨骼或以自身骨组织系数来定制骨粉,比起传统的人造骨粉,更加精确无误,而且生物相容性更好、更稳定牢固、愈合更迅速。由于3D口腔CT成像的直接应用,使亲骨种植技术大大的提高了,并象征着口腔种植领域的发展,迈出了革命性的一步。点击在线咨询,了解种植牙的优惠信息!在线预约可享更多优惠!
中韩·唯美口腔牙齿种植专家推荐

徐雅轩,国内著名CAM/CAD修复专家,精湛技术:牙齿矫正、牙齿美容修复、1小时德国西诺德CAD/CAM3D齿雕全瓷修复。毕业于南京医科大学口腔专业,长期从事口腔种植临床工作,在部队三甲医院工作多年,拥有多年深厚的口腔种植与研究经验。曾应邀参加瑞士ITI种植培训、德国西诺德3D齿雕培训,并出任多国种植集团特邀医师。其娴熟的种植技术和丰富的临床经验有机结合,注重从顾客的角度为出发点制定治疗方案,行医严谨,待人真诚,让广大缺牙顾客重新拥有完美的牙齿,深得顾客好评。
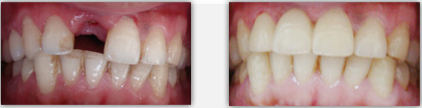
中韩·唯美口腔牙齿种植前后对比图

在线咨询,一分钟预约挂号,医务人员将会与您一对一进行沟通。中韩·唯美口腔有中国更专业的网上挂号平台,为您提供更便捷的预约就诊服务,为您推荐全国资质更深、技术更好的治疗专家,让你从此刻开始摆脱疾病的困扰。
上一篇:种植牙手术后会不会松动
下一篇:郑州市种植牙一颗多少钱
唯美口腔连锁·汇聚实力专家
唯美口腔连锁·品牌资讯