大牙掉了怎么办?如果说门牙是牙齿中的门面的话,那么大牙就是牙齿中的心脏,大牙不但在咀嚼食物时能够独当一面,而且大牙的缺失同样会影响面部容貌,一旦大牙掉了犹如缺少了将军的军队,对外来食物攻无不克,战无不胜的情景不复存在,那么大牙掉了怎么办?
中韩·唯美口腔医院专家介绍:种植牙修复在90%以上,大牙也是可以做种植牙的。种植牙修复是一项很成熟的口腔临床修复技术,好的种植系统10年的达到90%以上。全世界每年约有一千万颗口腔种植体植入人体内,欧美等发达国家的缺牙患者有50%选择种植修复,口腔种植牙齿治疗是缺牙修复的发展方向和必然趋势,所以大牙是可以做种植牙的。
种植牙是更好的牙齿修复方式
1、坚固的种植牙:因为是植入在牙槽骨上,种植牙较为坚固稳定,这一优点在进食和说话时尤其突出。
2、感觉自然:种植完成后牙齿感觉跟天然牙一样。推荐阅读:大牙种植修复后要注意些什么
2、对邻牙无损伤:无需切磨邻近的天然牙。
3、舒适的感受:患者普遍认为种植牙没有异物感。由于不需要活动假牙必备的基托与卡环,没有大面积基托导致的味觉迟钝与不舒适感,种植牙在口腔里的感觉比传统的修复技术更舒适。想了解种植牙更多的优势,点击在线咨询,在线医生给您一个满意的答复!
种植牙系统种类繁多,中韩·唯美口腔无痛种植牙无论是技术还是功能都属于佼佼者
中韩·唯美口腔医院在种植牙基础上引进了更为先进的无痛种植牙技术,无痛种植牙技术是欧美目前更先进的种植技术之一。安全耐用持久,世界上颗种植牙已正常使用40年。运用广泛,适用于牙齿缺损、牙列缺损、全口无牙。
技术推荐—亲骨超导种植技术
中韩唯美独家引进的CT“亲骨”种植技术是采用Implagraphy进行3D口腔CT成像,根据自身牙体骨骼或以自身骨组织系数来定制骨粉,比起传统的人造骨粉,更加精确无误,而且生物相容性更好、更稳定牢固、愈合更迅速。由于3D口腔CT成像的直接应用,使CT“亲骨”种植技术大大的提高了,并象征着口腔种植领域的发展,迈出了革命性的一步。唯美的管理严格遵循化医院管理服务标准,引进先进消毒管理体系,完全杜绝交叉感染,保证治疗质量。其手术室是中原标准口腔手术室营运基地,全程无菌可视化操作。采用数码诊疗操作流程及管理系统,与更先进的口腔医疗体系紧密接轨使口腔诊疗技术创伤更小、痛苦更小、时间更短、效果更好。
中韩·唯美口腔牙齿种植专家推荐

郑淳奎毕业于韩国首尔大学牙医学院,1995年赴瑞典皇家学院口腔医学院、美国华盛顿大学口腔医学院求学,先后获得了口腔颌面外科硕士、牙周病学硕士、口腔修复医学博士等学位。回国后将韩国整形医学与德国CEREC 3D数字齿雕系统结合,革新了口腔美容设计的传统治疗方法,获韩国齿周科学会新人学术奖及保健福利部长官奖。2000年又赴德国深造普士即刻种植牙技术,并成为位为德国人实施种植手术的亚洲专家。对各种种植修复技术有很深的造诣,先后在日本齿周科学会、日本齿科学会发表论文,获大韩齿周科学会新人学术奖,获韩国保健福利部长官奖,在韩国牙科界享有很高的美誉。
2002年起,郑淳奎开始在中国各大城市组建唯美口腔美容医院,招募了大批中韩两国久享盛誉的口腔专业人才,作为郑州唯美口腔医院韩方院长兼技术总监,郑淳奎凭借他广博的学识,带领唯美口腔知名专家团队一次次进行技术革新,不断突破传统口腔修复治疗技法,创造出更多美丽的微笑。
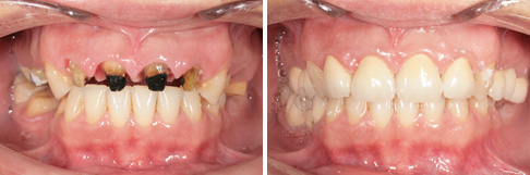
中韩·唯美口腔牙齿种植前后对比
中韩·唯美口腔医院专家团队对治疗都积累丰富的临床经验,借康复患者之间的口碑相传,声名远播,全国患者纷纷前来就诊。您的更佳选择。更多牙齿相关知识,您可以咨询在线医生。
上一篇:种植牙会伤害邻牙吗
下一篇:掉了一颗牙怎么样修复
唯美口腔连锁·汇聚实力专家
唯美口腔连锁·品牌资讯