郑州哪家做种植牙好?种植牙做为牙齿缺失的理想修复方法,被称为人类的第三副牙齿。很多人出现牙齿缺失也选择种植牙进行修复,那么郑州哪家做种植牙好是所有牙齿缺失患者都想要了解的。
郑州哪家做种植牙好?郑州唯美口腔的专家介绍:种植牙又称种植义齿,主要由植入人体颌
骨内起支持固位作用的种植体(牙根部分)和承担咀嚼作用的牙冠两部分。医生根据患者失牙后牙槽骨及颌骨的变化,选用一定形状的种植体植入颌骨内作为人造牙根,以外科小手术的方式植入缺牙区的牙槽骨内,经过 1~3 个月后,当人工牙根与牙槽骨密合后,然后在其露出口腔内的种植桩上安装牙冠,获得与自体牙相似的形态及功能。是针对牙齿缺失的理想修复方法。
牙齿缺失的危害有哪种?
1、牙槽骨萎缩:牙缺失后正常咬颌力对牙槽骨的生理性刺激不复存在,牙槽骨均会出现不同程度的废用性萎缩,并且会给后期假牙修复及维持口腔颌面部的平衡和稳定带来巨大困难。
2、牙列的完整性遭到破坏:牙齿缺失后,若较长时间不修复,邻近的牙齿由于失去了依靠和约束,会变得倾斜,易造成咬颌功能的紊乱。
3、牙齿脱落:由于缺牙左右两边的牙齿无法获得它们原先常有的支撑压力,它们会在牙龈中变得倾斜不正,使牙齿逐渐松动,导致部分牙齿脱落。
4、食物嵌塞:正常牙齿与牙齿之间,排列得十分紧密,邻近的牙齿移动后,牙齿与牙齿会出现缝隙,容易使食物嵌塞到牙齿间隙里,引起口臭、龋齿、牙周病等。
5、咀嚼功能减退:牙齿缺失后,余留牙齿发生了一系列变化,使原本良好的咬颌关系发生变化,由于余留牙之间有效功能面积相应减少,咀嚼效能降低。
通过上述有关牙齿缺失的危害有哪种,我们知道了牙齿缺失如果不及时修复会造成更多的口腔疾病,还可能引起全身性疾病。而种植牙做为牙齿缺失的理想修复方法,在郑州哪家做种植牙好?
郑州唯美口腔医院是河南省内成立更早、技术更精湛、服务更完善的高档口腔医院,在河南更早引进韩国(DENTIS)种植、瑞典(NOBEL)种植、韩国(OSSTEM)种植等,设备和技术始终走在河南省种植牙的前端。
唯美口腔——种植牙的四大优势

唯美口腔——专家团队:
郑州唯美口腔医院以人才为依托,拥有一支由国内教授、博士、硕士组成的强大专家团队,医生,技师,护士等都是受过专业的培训,经验丰富,实力雄厚。在著名口腔种植修复专家郑淳奎院长带领下,成为全省乃至全国都极具影响力的口腔种植医院。推荐阅读:唯美种植牙 牙齿缺失即刻种植

唯美口腔——种植案例:
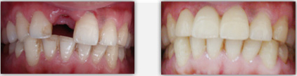
姓名:胡小姐 年龄:28岁 诊断:上颌前切牙缺失
治疗:采用的更精确快捷,具有安全舒适、方便快捷、即刻负重、个性制作等优点的韩国(DENTIS)种植牙技术 。

》》》 点击这里了解更多经典案例《《《
唯美口腔的郑淳奎院长温馨提醒想要种植牙的患者:种植牙手术是一项具有"高,精,尖"特点的技术,只有拥有高标准的技术和设备条件的专业机构才能开展此项手术,对于种植牙一定要选择一家正规的口腔医院,以免造成不必要的损害。如果您要了解更多有关种植牙方面相关内容,或者还有其他牙齿方面的疑问,可以点击唯美口腔的在线咨询或拔打唯美口腔24小时牙齿康复热线,我院专业咨询医生会给您竭诚为你讲解!
唯美口腔连锁·汇聚实力专家
唯美口腔连锁·品牌资讯