轻微的地包天矫正需要多长时间,地包天牙齿由于会影响到孩子的健康,所以建议儿童地包天是越早做越好,有些家长就要问了,6岁的儿童做矫正大概是需要多长时间呢?

郑州更好的牙科医院郑州唯美口腔医院专家介绍说,地包天矫正的时间和我们所选择的方法是有关系的,一般来说儿童多选择的是传统的牙齿矫正,而且要拔掉部分牙齿,需要时间比较长,牙套矫正技术的原理就是在牙齿表面黏上牙钉,即牙齿矫正器,再在牙钉上扣上钢线,并以钢线施力来使牙齿移动,令牙齿重新排列。
儿童地包天牙齿矫正的时间一般来说是在2年左右,虽然需要的时间较长,但对牙齿无损害,是很安全放心的。但是牙套也有很多种类,不同种类的牙套各有所长、各有所短,价格也是有高有低,当然矫正的时间也是存在差别的,如果牙患者选择的矫正方式不同,时间当然就会不同,从孩子自身的牙齿健康角度来考虑,自然是越早做矫正越好。
郑州唯美口腔医院推荐--时代天使矫正技术
时代天使引用计算机图形图像技术的更新成果,获取精确地三维数字化牙颌模型并结合现代精密制造技术,为您量齿定制一系列透明矫治器。我们,用技术成就中国吃客美容行业的创新者和引领者!我们,专为东方人量“齿”定制,你的笑容,就是这么简单 !推荐阅读:牙列拥挤该怎么去治疗?
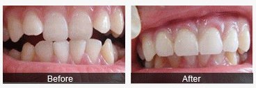
解决各种牙齿问题,轻而易举
郑州唯美口腔医院或许你还在为自己的牙齿而烦恼,牙齿不够白,不够整齐,不够美观。现在,你不必再烦恼了,美丽牙齿的脱变,就在唯美口腔。
轻微的地包天矫正需要多长时间,如果您对以上的内容,还有任何不明白的地方,欢迎点击在线咨询,与专家进行一对一交流,同时网上咨询预约,还可享免挂号费,无需排队优先就诊服务。
上一篇:河南牙齿矫正手术大概要多少钱
下一篇:地包天在17岁的时候可以矫正吗
唯美口腔连锁·汇聚实力专家
唯美口腔连锁·品牌资讯