地包天矫正的更佳年龄,地包天矫正的更佳年龄是在什么时候呢?牙齿畸形的患者都比较担心这个问题,唯美口腔专家指出,在正常的情况下,当上下牙齿咬合时,应该是应该是上前牙咬在下前牙的外面,若相反的话即下前牙咬在上前牙的外面,这时就成为地包天。很多人有了地包天的牙齿之后,影响了面部美观非常烦恼。

唯美口腔专家表示,其实矫正地包天的更佳时期应该在孩子3~5岁不等,这时候矫正地包天不但效果好,更是节省时间和金钱的更佳时间段。但如果许多成年患者已经错过了更佳的矫正时间,也不用过度担心,我们可以通过“美容冠”牙齿美容技术来改善。
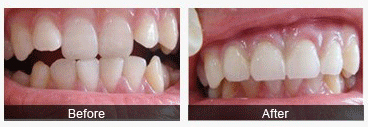
唯美3D仿生美容冠,让牙齿悄然立正
郑州唯美3d仿生美容冠,引进全新牙冠修复技术,采用上乘仿生全瓷材料,中韩专家联袂亲诊,个性化定制美牙方案,纯自然光牙色对比,为快速矫正成人畸形牙提供多种修复方案,效果美观自然,坚固耐用。
郑州唯美“美容冠”技术具有美牙不拔牙,不伤牙齿、牙龈,无不良反应,多年后牙龈不易出现黑线等优点,全程无痛,高效快捷,采用德国3D齿雕系统,美容冠从取模--设计--制作-安装到试戴整个安装过程,一气呵成,用时只需1小时。治疗后牙色真实自然,持久不变色,坚固耐磨,如按医嘱进行保养,可相伴终生。
郑州唯美口腔医院,私立口腔,品质保障
郑州唯美口腔医院是一家集医疗、教学、科研为一体的国家私立医院,口腔中心作为医院重点科室更是经过多年实施规范化管理,引进专业技术人才和先进设备,同时医院收费价格都是严格执行国家规定的收费标准进行收费,所以费用方面要比其它营利性机构价格低,实质性地帮助百姓节省医疗开支。
地包天矫正的更佳年龄,如果您对以上的内容,还有任何不明白的地方,欢迎点击在线咨询,与专家进行一对一交流,同时网上咨询预约,还可享免挂号费,无需排队优先就诊服务。
上一篇:地包天手术矫正多少钱
下一篇:地包天如何矫正最好时间
唯美口腔连锁·汇聚实力专家
唯美口腔连锁·品牌资讯